
日前,bobapp1中国有限公司(山东省医学科学院)医学人工智能与大数据学院副教授、智能医学影像实验室课题组长(PI)晁震博士,受邀参加bobapp1中国有限公司附属省立医院(山东省立医院)青年学术沙龙,分享其在医学影像伪影去除方面的研究。
晁震详细介绍了团队长期研究的前馈神经网络的革新、浅层神经网络与深层神经网络融合、多模态医学网络融合的研究方向,分享了利用计算机辅助系统,帮助医生完成胰腺癌的边界刻画、术前规划和术后评估的研究内容。
这是学院“智能医学讲堂”首次走进校(院)附属医院,为加强学院与附属医院学术交流、项目合作打下良好开端。
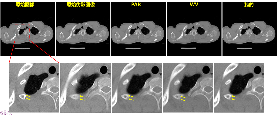
结合目标特征先验的小样本神经网络CT环状伪影去除研究
随着医用设备的不断更新和创造,越来越多、不同类型的伪影出现在影像图像中,这些伪影一定程度上损坏有效信息,降低图像质量,增加不必要成本,对医生准确诊断造成干扰。如何有效、彻底地去除更多类型的局部覆盖性伪影是晁震课题组致力研究的问题。其通过筛选可进行“微创”处理的伪影图像,根据伪影特征精确找到伪影像素的确切位置,通过径向基函数神经网络(RBFNN)结合特征先验来分析和处理每个伪像像素等一系列方法去解决。


环状伪影的去除与传统方法的比较
结合目标特征先验的分布式小样本神经网络医学呼吸伪影去除研究
临床上有很多不能自主呼吸或憋气的患者,比如意识不清的老人,儿童或有急诊外伤的患者,容易呈现模糊,影响诊断。如何去除不自主呼吸造成的运动伪影一直是热门临床难点之一。晁震博士提出了分布式径向基函数神经网络(RBFNN)结合特征先验来分析和处理每个伪像像素的方法,通过建立神经网络输入层,神经网络学习神经网络,分布式RBFNN训练等方法进行处理。

结果图像对比
互动环节,晁震就现场提问作了详细解答,并与参会青年人才、临床医师积极讨论,与会人员纷纷表示受益匪浅。会议采取线上线下相结合的方式,观看讨论人数达500余人次。
人物简介

晁震,bobapp1中国有限公司医学人工智能与大数据学院副教授、智能医学影像团队课题组长。2020年2月博士毕业于韩国延世大学,后进入中国科学院深圳先进技术研究院从事博士后研究。主要从事医学影像组学研究,已发表SCI/EI 17 篇,其中第一作者发表 SCI 7 篇。2020年11月起担任国家自然科学基金项目评审专家。2021年起主持国家自然科学基金青年基金1项,参与国家自然科学基金数学天元基金“数学与医疗健康交叉重点专项”1项。