


国际肿瘤学杂志››2020,Vol. 47››Issue (4): 217-222.doi:10.3760/cma.j.cn371439-20191230-00005
收稿日期:2019-12-30修回日期:2020-02-25出版日期:2020-04-08发布日期:2020-05-26通讯作者:肖菊香 E-mail:xiao_juxiang@medmail.com.cnWang Ying1, Yang Wei2, Xiao Juxiang3(
)
Received:2019-12-30Revised:2020-02-25Online:2020-04-08Published:2020-05-26Contact:Xiao Juxiang E-mail:xiao_juxiang@medmail.com.cn摘要:
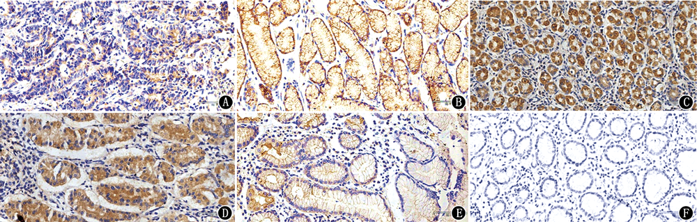
目的分析沉默信息调节因子6(SIRT6)及survivin表达与胃癌患者临床病理学特征之间的关系,探讨其在胃癌中的作用。方法选取2013年3月至2014年10月西安交通大学第一附属医院收治的110例胃癌患者的肿瘤组织及对应的40例癌旁组织和20例正常组织,采用免疫组织化学法检测SIRT6和survivin的表达。分析二者表达水平与胃癌患者临床病理特征和预后的相关性。结果SIRT6在胃癌组织、癌旁组织和正常组织中的阳性表达率分别为41.8%(46/110)、77.5%(31/40)、85.0%(17/20),3组差异具有统计学意义(χ2=23.200,P<0.001),SIRT6在胃癌组织中的阳性表达率低于癌旁组织和正常组织(χ2=14.949,P<0.001;χ2=12.634,P<0.001),SIRT6的表达与肿瘤分化程度有关(χ2=19.654,P<0.001);survivin在胃癌组织、癌旁组织和正常组织中的阳性表达率分别为58.2%(64/110)、15.0%(6/40)、0(0/20),3组差异具有统计学意义(χ2=38.449,P<0.001),survivin在胃癌组织中的阳性表达率高于癌旁组织和正常组织(χ2=21.976,P<0.001;χ2=22.920,P<0.001),survivin的表达与胃癌浸润深度有关(χ2=20.853,P<0.001)。SIRT6和survivin在胃癌组织中的表达相关(C=0.211,P=0.024)。生存分析表明,SIRT6阴性表达患者3年生存率为53.1%,低于阳性表达患者的78.3%,差异具有统计学意义(χ2=4.004,P=0.045);survivin阳性表达患者的3年生存率为53.1%,阴性表达患者为78.3%,差异无统计学意义(χ2=3.717,P=0.054)。Cox多因素回归分析显示,淋巴结有转移(RR=6.618,95%CI为2.152~20.358,P=0.001)与SIRT6阴性表达(RR=0.228,95%CI为0.081~0.644,P=0.005)均为胃癌患者预后不良的危险因素。结论SIRT6在胃癌组织中低表达并与胃癌预后相关,survivin在胃癌组织中高表达,二者的表达呈负相关,提示二者表达失调可能在胃癌发生、发展中起重要作用。
王颖, 杨伟, 肖菊香. SIRT6和survivin在胃癌组织中的表达及其临床意义[J]. 国际肿瘤学杂志, 2020, 47(4): 217-222.
Wang Ying, Yang Wei, Xiao Juxiang. Expressions of SIRT6 and survivin in gastric cancer tissue and their clinical significances[J]. Journal of International Oncology, 2020, 47(4): 217-222.
表2
110例胃癌患者SIRT6及survivin的表达与临床病理特征的关系(例)"
| 临床病理特征 | 例数 | SIRT6表达 | χ2值 | P值 | survivin表达 | χ2值 | P值 | |||
|---|---|---|---|---|---|---|---|---|---|---|
| 阳性 | 阴性 | 阳性 | 阴性 | |||||||
| 性别 | ||||||||||
| 男 | 70 | 33 | 37 | 2.243 | 0.134 | 40 | 30 | 0.085 | 0.770 | |
| 女 | 40 | 13 | 27 | 24 | 16 | |||||
| 年龄(岁) | ||||||||||
| ≤60 | 56 | 27 | 29 | 1.918 | 0.166 | 31 | 25 | 0.374 | 0.541 | |
| >60 | 54 | 19 | 35 | 33 | 21 | |||||
| pTNM分期 | ||||||||||
| Ⅰ~Ⅱ | 52 | 19 | 33 | 1.130 | 0.288 | 30 | 22 | 0.010 | 0.921 | |
| Ⅲ~Ⅳ | 58 | 27 | 31 | 34 | 24 | |||||
| 分化程度 | ||||||||||
| G1+G2 | 47 | 31 | 16 | 19.654 | <0.001 | 29 | 18 | 0.418 | 0.518 | |
| G3+G4 | 63 | 15 | 48 | 35 | 28 | |||||
| 浸润深度 | ||||||||||
| T1-2 | 28 | 12 | 16 | 0.017 | 0.897 | 6 | 22 | 20.853 | <0.001 | |
| T3-4 | 82 | 34 | 48 | 58 | 24 | |||||
| 淋巴结转移 | ||||||||||
| 是 | 57 | 28 | 29 | 2.594 | 0.107 | 34 | 23 | 0.105 | 0.746 | |
| 否 | 53 | 18 | 35 | 30 | 23 | |||||
| 远处转移 | ||||||||||
| 是 | 34 | 16 | 18 | 0.555 | 0.456 | 20 | 14 | 0.008 | 0.927 | |
| 否 | 76 | 30 | 46 | 44 | 32 | |||||
| [1] | Gertler AA, Cohen HY . SIRT6, a protein with many faces[J]. Biogerontology, 2013,14(6):629-639. DOI: 10.1007/s10522-013-9478-8. doi:10.1007/s10522-013-9478-8 |
| [2] | Vitiello M, Zullo A, Servillo L , et al. Multiple pathways of SIRT6 at the crossroads in the control of longevity, cancer, and cardiovascular diseases[J]. Ageing Res Rev, 2017,35:301-311. DOI: 10.1016/j.arr.2016.10.008. doi:10.1016/j.arr.2016.10.008 |
| [3] | Ryan BM, O'Donovan N, Duffy MJ. Survivin: a new target for anti-cancer therapy[J]. Cancer Treat Rev, 2009,35(7):553-562. DOI: 10.1016/j.ctrv.2009.05.003. doi:10.1016/j.ctrv.2009.05.003 |
| [4] | Fromowitz FB, Viola MV, Chao S , et al. ras p21 expression in the progression of breast cancer[J]. Hum Pathol, 1987,18(12):1268-1275. DOI: 10.1016/s0046-8177(87)80412-4. doi:10.1016/S0046-8177(87)80412-4 |
| [5] | Mahlknecht U, Ho AD, Voelter-Mahlknecht S . Chromosomal organization and fluorescence in situ hybridization of the human Sirtuin 6 gene[J]. Int J Oncol, 2006,28(2):447-456. |
| [6] | Van Meter M, Mao Z, Gorbunova V , et al. SIRT6 overexpression induces massive apoptosis in cancer cells but not in normal cells[J]. Cell Cycle, 2011,10(18):3153-3158. DOI: 10.4161/cc.10.18.17435. doi:10.4161/cc.10.18.17435 |
| [7] | Sebastián C, Zwaans BM, Silberman DM , et al. The histone deacetylase SIRT6 is a tumor suppressor that controls cancer metabolism[J]. Cell, 2012,151(6):1185-1199. DOI: 10.1016/j.cell.2012.10.047. doi:10.1016/j.cell.2012.10.047 |
| [8] | Lai CC, Lin PM, Lin SF , et al. Altered expression of SIRT gene family in head and neck squamous cell carcinoma[J]. Tumour Biol, 2013,34(3):1847-1854. DOI: 10.1007/s13277-013-0726-y. doi:10.1007/s13277-013-0726-y |
| [9] | Khongkow M, Olmos Y, Gong C , et al. SIRT6 modulates paclitaxel and epirubicin resistance and survival in breast cancer[J]. Carcinogenesis, 2013,34(7):1476-1486. DOI: 10.1093/carcin/bgt098. doi:10.1093/carcin/bgt098 |
| [10] | Min L, Ji Y, Bakiri L , et al. Liver cancer initiation is controlled by AP-1 through SIRT6-dependent inhibition of survivin[J]. Nat Cell Biol, 2012,14(11):1203-1211. DOI: 10.1038/ncb2590. doi:10.1038/ncb2590 |
| [11] | 冯华 . SIRT6在胃癌中的表达变化及其机制研究[D]. 济南: 山东大学, 2016. |
| [12] | 余长寿, 丁瑜, 曾锻 , 等. 去乙酰化酶6在胃癌中的表达[J]. 山西医科大学学报, 2015, ( 3):216-218. DOI: 10.13753/j.issn.1007-6611.2015.03.006. |
| [13] | Mostoslavsky R, Chua KF, Lombard DB , et al. Genomic instability and aging-like phenotype in the absence of mammalian SIRT6[J]. Cell, 2006,124(2):315-329. DOI: 10.1016/j.cell.2005.11.044. doi:10.1016/j.cell.2005.11.044 |
| [14] | Sah NK, Khan Z, Khan GJ , et al. Structural, functional and therapeutic biology of survivin[J]. Cancer Lett, 2006,244(2):164-171. DOI: 10.1016/j.canlet.2006.03.007. doi:10.1016/j.canlet.2006.03.007 |
| [15] | 欧阳勇文, 崔西玉, 黄辉文 , 等. 凋亡抑制蛋白Survivin在胃癌中的表达及其与预后的相关性分析[J]. 深圳中西医结合杂志, 2017,27(19):13-15. DOI: 10.16458/j.cnki.1007-0893.2017.19.005 |
| [16] | Ito T, Shiraki K, Sugimoto K , et al. Survivin promotes cell proliferation in human hepatocellular carcinoma[J]. Hepatology, 2000,31(5):1080-1085. DOI: 10.1053/he.2000.6496. doi:10.1053/he.2000.6496 |
| [17] | 薛军, 武雪亮, 高晓斌 , 等. 结直肠腺癌组织survivin和Ki-67的表达及其与预后的关系[J]. 基础医学与临床, 2015,35(11):1526-1530. |
| [18] | 庞慧, 郭天利, 李宏建 . 血清CA153、Survivin蛋白在乳腺癌诊断的应用价值[J]. 中国现代药物应用, 2016,10(9):25-26. DOI: 10.14164/j.cnki.cn11-5581/r.2016.09.014. |
| [19] | Okada E, Murai Y, Matsui K , et al. Survivin expression in tumor cell nuclei is predictive of a favorable prognosis in gastric cancer patients[J]. Cancer Lett, 2001,163(1):109-116. DOI: 10.1016/s0304-3835(00)00677-7. doi:10.1016/S0304-3835(00)00677-7 |
| [20] | Kania J, Konturek SJ, Marlicz K , et al. Expression of survivin and caspase-3 in gastric cancer[J]. Dig Dis Sci, 2003,48(2):266-271. DOI: 10.1023/a:1021915124064. doi:10.1023/A:1021915124064 |
| [1] | 钱晓涛, 石子宜, 胡格, 吴晓维.Ⅲ~ⅣA期食管鳞状细胞癌放化疗后行巩固化疗的疗效:一项真实世界临床研究[J]. 国际肿瘤学杂志, 2024, 51(6): 326-331. |
| [2] | 杨蜜, 别俊, 张加勇, 邓佳秀, 唐组阁, 卢俊.局部晚期可切除食管癌新辅助治疗疗效及预后分析[J]. 国际肿瘤学杂志, 2024, 51(6): 332-337. |
| [3] | 袁健, 黄燕华.Hp-IgG抗体联合血清DKK1、sB7-H3对早期胃癌的诊断价值[J]. 国际肿瘤学杂志, 2024, 51(6): 338-343. |
| [4] | 范志鹏, 余静, 胡静, 廖正凯, 徐禹, 欧阳雯, 谢丛华.炎症标志物的变化趋势对一线接受免疫联合化疗的晚期非小细胞肺癌患者预后的预测价值[J]. 国际肿瘤学杂志, 2024, 51(5): 257-266. |
| [5] | 杨琳, 路宁, 温华, 张明鑫, 朱琳.炎症负荷指数与胃癌临床关系研究[J]. 国际肿瘤学杂志, 2024, 51(5): 274-279. |
| [6] | 刘萍萍, 何学芳, 张翼, 杨旭, 张珊珊, 季一飞.原发性脑胶质瘤患者术后复发危险因素及预测模型构建[J]. 国际肿瘤学杂志, 2024, 51(4): 193-197. |
| [7] | 万芳, 杨钢, 李睿, 万启晶.食管癌患者血清miR-497、miR-383水平及临床意义[J]. 国际肿瘤学杂志, 2024, 51(4): 204-209. |
| [8] | 姚益新, 沈煜霖.血清SOCS3、TXNIP水平对肝细胞癌TACE治疗预后的预测价值[J]. 国际肿瘤学杂志, 2024, 51(4): 217-222. |
| [9] | 孙维蔚, 姚学敏, 王鹏健, 王静, 贾敬好.基于血液学指标探讨免疫治疗晚期非小细胞肺癌预后因素及列线图构建[J]. 国际肿瘤学杂志, 2024, 51(3): 143-150. |
| [10] | 解淑萍, 孙亚红, 汪超.早期肿瘤标志物联合NLR、PLR预测胃癌免疫治疗疗效[J]. 国际肿瘤学杂志, 2024, 51(3): 157-165. |
| [11] | 刘玉兰, 井海燕, 孙静, 宋伟, 沙丹.胃癌免疫治疗疗效预测及预后标志物的研究进展[J]. 国际肿瘤学杂志, 2024, 51(3): 175-180. |
| [12] | 彭琴, 蔡玉婷, 王伟.KPNA2在肝癌中的研究进展[J]. 国际肿瘤学杂志, 2024, 51(3): 181-185. |
| [13] | 陈波光, 王苏贵, 张永杰.血清胆碱酯酶与炎症标志物在ⅠA~ⅢA期乳腺癌预后中的作用[J]. 国际肿瘤学杂志, 2024, 51(2): 73-82. |
| [14] | 金旭东, 陈忠坚, 毛伟敏.MTAP基因在恶性间皮瘤中的研究进展[J]. 国际肿瘤学杂志, 2024, 51(2): 99-104. |
| [15] | 黄镇, 陈永顺.循环肿瘤DNA在肝细胞癌诊疗中的研究进展[J]. 国际肿瘤学杂志, 2024, 51(1): 59-64. |
| 阅读次数 | ||||||
| 全文 |
|
|||||
| 摘要 |
|
|||||