


国际肿瘤学杂志››2020,Vol. 47››Issue (3): 190-192.doi:10.3760/cma.j.issn.1673-422X.2020.03.012
• 病例报道 •上一篇
收稿日期:2020-01-06修回日期:2020-01-30出版日期:2020-03-08发布日期:2020-05-27通讯作者:白海 E-mail:baihai@tom.com
Received:2020-01-06Revised:2020-01-30Online:2020-03-08Published:2020-05-27摘要:
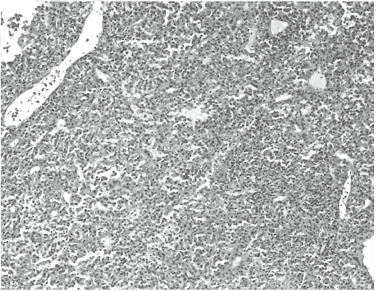
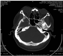
大灶性骨髓瘤是一种非常罕见的浆细胞瘤,目前对其生物学行为认识有限,易误诊为经典多发性骨髓瘤及其他髓外浆细胞瘤。现报道1例大灶性骨髓瘤的临床诊治经过,并对其临床特点及鉴别诊断进行探讨。
张菡偌, 白海. 大灶性骨髓瘤诊断为多发性骨髓瘤一例[J]. 国际肿瘤学杂志, 2020, 47(3): 190-192.
| [1] | Caers J, Paiva B, Zamagni E , et al. Diagnosis, treatment, and response assessment in solitary plasmacytoma: updated recommendations from a European Expert Panel[J]. J Hematol Oncol, 2018,11(1):10. DOI: 10.1186/s13045-017-0549-1. doi:10.1186/s13045-017-0549-1 |
| [2] | Hughes M, Doig A, Soutar R . Solitary plasmacytoma and multiple myeloma: adhesion molecule and chemokine receptor expression patterns[J]. Br J Haematol, 2007,137(5):486-487. DOI: 10.1111/j.1365-2141.2007.06599.x. doi:10.1111/bjh.2007.137.issue-5 |
| [3] | Chen LP, Sun TH, Hsieh PP , et al. Diagnostic pitfalls of nonsecretory myeloma manifesting as multiple foci of periosseous plasmacytomas[J]. J Chin Med Assoc, 2011,74(10):464-468. DOI: 10.1016/j.jcma.2011.08.018. doi:10.1016/j.jcma.2011.08.018 |
| [4] | Tsang RW, Campbell BA, Goda JS , et al. Radiation therapy for solitary plasmacytoma and multiple myeloma: guidelines from the international lymphoma radiation oncology group[J]. Int J Radiat Oncol Biol Phys, 2018,101(4):794-808. DOI: 10.1016/j.ijrobp.2018.05.009. doi:10.1016/j.ijrobp.2018.05.009 |
| [5] | Mignot F, Schernberg A, Arsène Henry A , et al. Solitary plasmacytoma: lenalidomide-dexamethasone combined with radiation therapy: clinical outcomes[J]. Int J Radiat Oncol Biol Phys, 2020,106(3):589-596. DOI: 10.1016/j.ijrobp.2019.10.043. doi:10.1016/j.ijrobp.2019.10.043 |
| [6] | Katodritou E, Kastritis E, Gatt M , et al. Real-world data on incidence, clinical characteristics and outcome of patients with macrofocal multiple myeloma (MFMM) in the novel therapeutic era: a study of the Greco-Israeli Collaborative Myeloma Working Group[J]. Am J Hematol, 2020, In press. DOI: 10.1002/ajh.25755. |
| [7] | Goranova Marinova V, Yaneva M, Deneva T , et al. Multiple myeloma with advanced bone disease and low tumor burden-different clinical presentation but similar outcome after bortezomib-based therapy and radiotherapy[J]. Acta Clin Croat, 2017,56(2):262-268. DOI: 10.20471/acc.2017.56.02.09. |
| [1] | 高凡, 王萍, 杜超, 褚衍六.肠道菌群与结直肠癌非手术治疗的相关研究进展[J]. 国际肿瘤学杂志, 2024, 51(6): 376-381. |
| [2] | 任露, 谢晓丽, 张坤, 王丽娟.双氢青蒿素联合卡非佐米对多发性骨髓瘤细胞活性、增殖、凋亡的影响及机制研究[J]. 国际肿瘤学杂志, 2024, 51(3): 129-136. |
| [3] | 李书月, 马辰莺, 周菊英, 徐晓婷, 秦颂兵.寡转移非小细胞肺癌的放疗进展[J]. 国际肿瘤学杂志, 2024, 51(3): 170-174. |
| [4] | 李济时, 陆钊群, 刘俊茹, 吕建勋, 陈霜, 沈琳, 徐志渊, 吴平安.新辅助放疗联合部分喉切除术治疗喉滑膜肉瘤1例并文献复习[J]. 国际肿瘤学杂志, 2024, 51(2): 123-125. |
| [5] | 中国医师协会放射肿瘤治疗医师分会, 中华医学会放射肿瘤治疗学分会, 中国抗癌协会肿瘤放射治疗专业委员会.中国食管癌放射治疗指南(2023年版)[J]. 国际肿瘤学杂志, 2024, 51(1): 1-20. |
| [6] | 高新雨, 李振江, 孙洪福, 韩丹, 赵倩, 刘成新, 黄伟.基于MR加速器的MR引导放疗在食管癌患者中的临床应用[J]. 国际肿瘤学杂志, 2024, 51(1): 37-42. |
| [7] | 崔腾璐, 吕璐, 孙鹏飞.放疗联合免疫治疗在头颈部鳞状细胞癌治疗中的应用[J]. 国际肿瘤学杂志, 2023, 50(9): 548-552. |
| [8] | 李青珊, 谢鑫, 张楠, 刘帅.放疗联合系统治疗在乳腺癌中的应用进展[J]. 国际肿瘤学杂志, 2023, 50(6): 362-367. |
| [9] | 许萌, 姜伟, 朱海涛, 曹雄锋.癌相关成纤维细胞在肿瘤放疗抵抗中的研究进展[J]. 国际肿瘤学杂志, 2023, 50(4): 227-230. |
| [10] | 石小琪, 汪红艳.肠道菌群与放射性肠炎的相互作用及研究进展[J]. 国际肿瘤学杂志, 2023, 50(4): 244-247. |
| [11] | 张雨潇, 张连生, 李莉娟.新型免疫检查点TIGIT在多发性骨髓瘤免疫治疗中的研究现状与应用前景[J]. 国际肿瘤学杂志, 2023, 50(2): 122-125. |
| [12] | 李进芝, 赵彪, 文晓博, 张明, 袁美芳, 孙梦真, 蒲琴, 杨毅.Monaco系统计算网格尺寸对T4期鼻咽癌的剂量学影响[J]. 国际肿瘤学杂志, 2023, 50(11): 641-649. |
| [13] | 耿睿, 马俊强, 郭强, 牛钊峰.老年乳腺癌患者的综合治疗方式选择倾向及其影响因素[J]. 国际肿瘤学杂志, 2023, 50(11): 650-654. |
| [14] | 王冰, 王爱馥, 刘雯舒, 范娇娇, 田伟成, 王玮莉, 刘博宇.重组人血小板生成素治疗肿瘤放疗所致血小板减少症的疗效及安全性[J]. 国际肿瘤学杂志, 2023, 50(11): 661-667. |
| [15] | 中国医师协会放射肿瘤治疗医师分会, 中华医学会放射肿瘤治疗学分会, 中国抗癌协会肿瘤放射治疗专业委员会.新型冠状病毒感染疫情背景下肿瘤患者放射治疗管理相关问题中国专家共识(2023版)[J]. 国际肿瘤学杂志, 2023, 50(10): 577-584. |
| 阅读次数 | ||||||
| 全文 |
|
|||||
| 摘要 |
|
|||||
