


国际肿瘤学杂志››2020,Vol. 47››Issue (8): 508-509.doi:10.3760/cma.j.cn371439-20191114-00067
收稿日期:2019-11-14修回日期:2020-01-07出版日期:2020-08-08发布日期:2020-10-22通讯作者:刘超英 E-mail:chyliu666@163.com
Received:2019-11-14Revised:2020-01-07Online:2020-08-08Published:2020-10-22摘要:
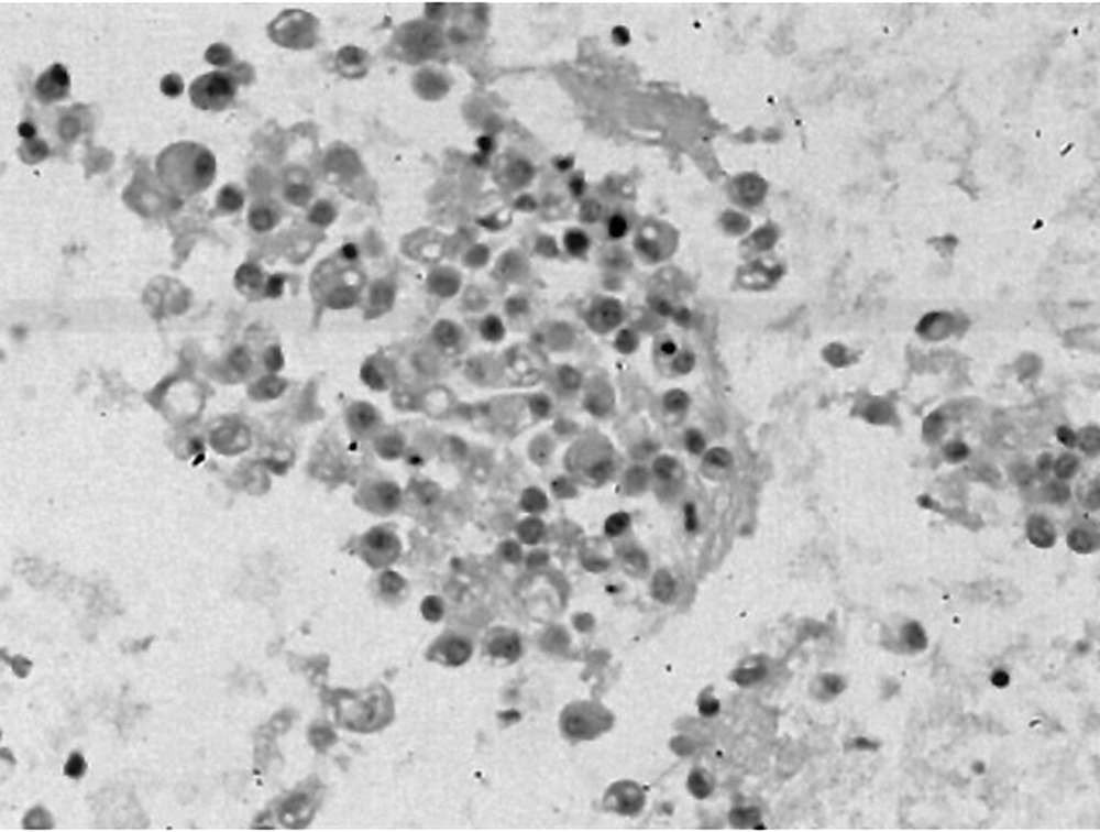
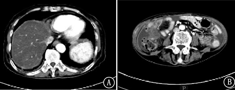
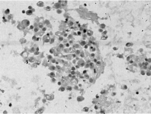
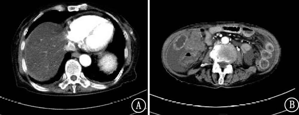
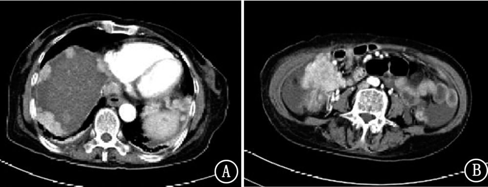
晚期胃癌目前无明确有效治疗手段,现报道1例安罗替尼治疗晚期胃癌病例,并对其临床疗效和安全性进行分析。
黄薇, 李江, 刘超英. 安罗替尼治疗晚期胃癌一例[J]. 国际肿瘤学杂志, 2020, 47(8): 508-509.
| [1] | Cancer Genome Atlas Research Network. Comprehensive molecular characterization of gastric adenocarcinoma[J]. Nature, 2014,513(7517):202-209. DOI: 10.1038/nature13480. doi:10.1038/nature13480 |
| [2] | Kang WM, Meng QB, Yu JC, et al. Factors associated with early recurrence after curative surgery for gastric cance[J]. World J Gastroenterol, 2015,21(19):5934-5940. DOI: 10.3748/wjg.v21.i19.5934. doi:10.3748/wjg.v21.i19.5934pmid:26019458 |
| [3] | Liu L, Yu H, Huang L, et al. Progression-free survival as a surrogate endpoint for overall survival in patients with third-line or later-line chemotherapy for advanced gastric cancer[J]. Onco Targets Ther, 2015,8:921-928. DOI: 10.2147/OTT.S82365. doi:10.2147/OTT.S82365pmid:25960663 |
| [4] | Fontanella C, Ongaro E, Bolzonello S, et al. Clinical advances in the development of novel VEGFR2 inhibitors[J]. Ann Transl Med, 2014,2(12):123. DOI: 10.3978/j.issn.2305-5839.2014.08.14. doi:10.3978/j.issn.2305-5839.2014.08.14pmid:25568876 |
| [5] | Passot G, Dupré A, Rivoire M, et al. Intraperitoneal bevacizumab combined with cytoreductive surgery: a pre-clinical study of tolerance and pharmacokinetics in an animal model[J]. Clin Transl Oncol, 2012,14(12):931-936. DOI: 10.1007/s12094-012-0888-x. doi:10.1007/s12094-012-0888-x |
| [6] | Fushida S, Oyama K, Kinoshita J, et al. VEGF is a target molecule for peritoneal metastasis and malignant ascites in gastric cancer: prognostic significance of VEGF in ascites and effcacy of anti-VEGF monoclonal antibody[J]. Onco Targets Ther, 2013,6:1445-1451. DOI: 10.2147/OTT.S51916. pmid:24204159 |
| [7] | Beedie SL, Mahony C, Walker HM, et al. Shared mechanism of teratogenicity of anti-angiogenic drugs identified in the chicken embryo model[J]. Sci Rep, 2016,6:30038. DOI: 10.1038/srep30038. pmid:27443489 |
| [8] | Li J, Qin S, Xu J, et al. Randomized, double-blind, placebo-controlled phase Ⅲ trial of apatininb in patients with chemotherapy-refractory advanced or metastatic adenocarcinoma of the stomach or gastroesophageal junction[J]. J Clin Oncol, 2016,34(13):1448-1454. DOI: 10.1200/JCO.2015.63.5995. doi:10.1200/JCO.2015.63.5995pmid:26884585 |
| [1] | 袁健, 黄燕华.Hp-IgG抗体联合血清DKK1、sB7-H3对早期胃癌的诊断价值[J]. 国际肿瘤学杂志, 2024, 51(6): 338-343. |
| [2] | 杨琳, 路宁, 温华, 张明鑫, 朱琳.炎症负荷指数与胃癌临床关系研究[J]. 国际肿瘤学杂志, 2024, 51(5): 274-279. |
| [3] | 姚昌菊, 朱治法, 张梅.晚期腹膜后去分化脂肪肉瘤1例并文献复习[J]. 国际肿瘤学杂志, 2024, 51(4): 254-256. |
| [4] | 解淑萍, 孙亚红, 汪超.早期肿瘤标志物联合NLR、PLR预测胃癌免疫治疗疗效[J]. 国际肿瘤学杂志, 2024, 51(3): 157-165. |
| [5] | 刘玉兰, 井海燕, 孙静, 宋伟, 沙丹.胃癌免疫治疗疗效预测及预后标志物的研究进展[J]. 国际肿瘤学杂志, 2024, 51(3): 175-180. |
| [6] | 邵慧芳, 王学红, 芦永福.CST1在胃癌进展中的作用机制及临床意义[J]. 国际肿瘤学杂志, 2023, 50(8): 489-492. |
| [7] | 朱思雨, 王学红, 李文茜, 刘曙.胃癌患者血清FABP1水平及其与幽门螺杆菌感染的关系[J]. 国际肿瘤学杂志, 2023, 50(6): 336-341. |
| [8] | 杨娅, 王慧礼, 刘艳, 郭金凤, 王春霞, 吕敏, 山长平.GCSH基因在胃癌SNU-1细胞增殖和凋亡中的作用研究[J]. 国际肿瘤学杂志, 2023, 50(5): 257-262. |
| [9] | 全祯豪, 徐飞鹏, 黄哲, 黄先进, 陈日红, 孙开裕, 胡旭, 林琳.沉默lncRNA FTX通过miR-22-3p/NLRP3炎症体通路抑制胃癌细胞增殖[J]. 国际肿瘤学杂志, 2023, 50(4): 202-207. |
| [10] | 姬薇, 关泉林, 陈雅蕊, 焦福智, 罗倩文.血脂水平与胃癌的相关性[J]. 国际肿瘤学杂志, 2023, 50(3): 183-185. |
| [11] | 范珊琳, 汪品秀, 孔飞, 周玉洁, 袁文臻.胃癌新辅助化疗后肿瘤退缩分级预测因素的研究进展[J]. 国际肿瘤学杂志, 2023, 50(2): 112-116. |
| [12] | 杨俊, 李荣, 曾建昌.复方苦参注射液联合SOX方案治疗老年晚期胃癌的临床疗效[J]. 国际肿瘤学杂志, 2023, 50(2): 82-86. |
| [13] | 黄锐, 张允清.安罗替尼单药在PS评分差的广泛期小细胞肺癌二线治疗中的临床疗效[J]. 国际肿瘤学杂志, 2023, 50(12): 705-710. |
| [14] | 邓莉莉, 段星宇, 李保中.HER2靶向药物及其联合治疗方案在胃及食管胃结合部腺癌治疗中的研究进展[J]. 国际肿瘤学杂志, 2023, 50(12): 751-757. |
| [15] | 李佳宜, 王跃, 尚兰兰, 徐兴, 赵岩.人工智能技术在胃癌诊断与治疗中的实践与展望[J]. 国际肿瘤学杂志, 2023, 50(11): 677-682. |
| 阅读次数 | ||||||
| 全文 |
|
|||||
| 摘要 |
|
|||||
