


国际肿瘤学杂志››2022,Vol. 49››Issue (5): 314-315.doi:10.3760/cma.j.cn371439-20211021-00058
收稿日期:2021-10-21修回日期:2022-01-09出版日期:2022-05-08发布日期:2022-05-31通讯作者:张再兴 E-mail:bj1368317@126.com基金资助:
Received:2021-10-21Revised:2022-01-09Online:2022-05-08Published:2022-05-31摘要:
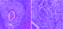
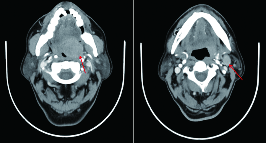
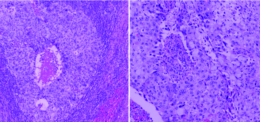
扁桃体黏液表皮样癌是一种罕见的恶性肿瘤,文献中鲜见报道。现报道1例扁桃体黏液表皮样癌患者的诊疗经过,并探讨扁桃体黏液表皮样癌的临床特点、诊断、治疗及预后等。
柴晓转, 张再兴. 扁桃体黏液表皮样癌1例[J]. 国际肿瘤学杂志, 2022, 49(5): 314-315.
| [1] | Jarvis SJ, Giangrande V, Brennan PA. Mucoepidermoid carcinoma of the tonsil: a very rare presentation[J]. Acta Otorhinolaryngol Ital, 2013, 33(4): 286-288. pmid:24043918 |
| [2] | 李竞贤, 刘艳辉, 林冬梅, 等. 143例扁桃体恶性肿瘤与淋巴瘤的临床病理研究[J]. 中华肿瘤杂志, 1992, 14(6): 433-436. |
| [3] | Devaraju R, Gantala R, Aitha H, et al. Mucoepidermoid carcinoma[J]. BMJ Case Rep, 2014, 2014:bcr-2013-202776. DOI: 10.1136/bcr-2013-202776. doi:10.1136/bcr-2013-202776 |
| [4] | Bishop JA, Yonescu R, Batista D, et al. Mucoepidermoid carcinoma does not harbor transcriptionally active high risk human papillomavirus even in the absence of the MAML2 translocation[J]. Head Neck Pathol, 2014, 8(3): 298-302. DOI: 10.1007/s12105-014-0541-9. doi:10.1007/s12105-014-0541-9 |
| [5] | Teixeira LN, Montalli VA, Teixeira LC, et al. Mucoepidermoid carcinoma of the palatine tonsil[J]. Case Rep Oncol Med, 2015, 2015: 827560. DOI: 10.1155/2015/827560. doi:10.1155/2015/827560 |
| [6] | Karkuzhali P, Sahoo B. Mucoepidermoid carcinoma of the palatine tonsil: a case report and review of the literature[J]. Int J Otorhinolaryngol Head Neck Surg, 2017, 3(4): 1111-1113. DOI: 10.18203/issn.2454-5929.ijohns20174343. doi:10.18203/issn.2454-5929.ijohns20174343 |
| [7] | Goh GH, Lim CM, Vanacek T, et al. Spindle cell mucoepidermoid carcinoma of the palatine tonsil with CRTC1-MAML2 fusion transcript: report of a rare case in a 17-year-old boy and a review of the literature[J]. Int J Surg Pathol, 2017, 25(8): 705-710. DOI: 10.1177/1066896917714890. doi:10.1177/1066896917714890 |
| [8] | Lawlor CM, Nelson RE, Doucet ME, et al. A rare case of mucoepidermoid carcinoma of the lingual tonsil with cervical lymph node metastases[J]. J Cancer Ther Res, 2015, 4: 1. DOI: 10.7243/2049-7962-4-1. doi:10.7243/2049-7962-4-1 |
| [9] | Paz IB, Cook N, Odom-Maryon T, et al. Human papillomavirus (HPV) in head and neck cancer. An association of HPV 16 with squamous cell carcinoma of Waldeyer’s tonsillar ring[J]. Cancer, 1997, 79(3): 595-604. DOI: 10.1002/(sici)1097-0142(19970201)79:3595:: doi:10.1002/(sici)1097-0142(19970201)79:3595:: |
| [10] | 韦存志, 蔡德丰, 屈进文, 等. 腮腺黏液表皮样癌单纯手术和术后辅助放化疗疗效和预后因素分析[J]. 国际肿瘤学杂志, 2015, 42(10): 726-729. DOI: 10.3760/cma.j.issn.1673-422X.2015.10.002. doi:10.3760/cma.j.issn.1673-422X.2015.10.002 |
| [11] | 汪洋, 田臻. 唾液腺黏液表皮样癌预后评估的组织病理学与分子病理指标[J]. 中国口腔颌面外科杂志, 2018, 16(4): 376-381. DOI: 10.19438/j.cjoms.2018.04.016. doi:10.19438/j.cjoms.2018.04.016 |
| [12] | Meyer MT, Watermann C, Dreyer T, et al. 2021 update on diagnostic markers and translocation in salivary gland tumors[J]. Int J Mol Sci, 2021, 22(13): 6771. DOI: 10.3390/ijms22136771. doi:10.3390/ijms22136771 |
| [13] | Akbaba S, Heusel A, Mock A, et al. The impact of age on the outcome of patients treated with radiotherapy for mucoepidermoid carcinoma (MEC) of the salivary glands in the head and neck: a 15-year single-center experience[J]. Oral Oncol, 2019, 97: 115-123. DOI: 10.1016/j.oraloncology.2019.08.018. doi:S1368-8375(19)30293-3pmid:31494395 |
| [14] | Fehr A, Werenicz S, Trocchi P, et al. Mucoepidermoid carcinoma of the salivary glands revisited with special reference to histologic grading and CRTC1/3-MAML2 genotyping[J]. Virchows Arch, 2021, 479(5): 975-985. DOI: 10.1007/s00428-021-03146-x. doi:10.1007/s00428-021-03146-x |
| [1] | 钱晓涛, 石子宜, 胡格, 吴晓维.Ⅲ~ⅣA期食管鳞状细胞癌放化疗后行巩固化疗的疗效:一项真实世界临床研究[J]. 国际肿瘤学杂志, 2024, 51(6): 326-331. |
| [2] | 杨蜜, 别俊, 张加勇, 邓佳秀, 唐组阁, 卢俊.局部晚期可切除食管癌新辅助治疗疗效及预后分析[J]. 国际肿瘤学杂志, 2024, 51(6): 332-337. |
| [3] | 张百红, 岳红云.新作用机制的抗肿瘤药物进展[J]. 国际肿瘤学杂志, 2024, 51(6): 354-358. |
| [4] | 许凤琳, 吴刚.EBV在鼻咽癌肿瘤免疫微环境和免疫治疗中的研究进展[J]. 国际肿瘤学杂志, 2024, 51(6): 359-363. |
| [5] | 王盈, 刘楠, 郭兵.抗体药物偶联物在转移性乳腺癌治疗中的研究进展[J]. 国际肿瘤学杂志, 2024, 51(6): 364-369. |
| [6] | 王培鑫, 赵军, 徐世红, 姜朝阳, 王小强, 杨红娟.铁死亡相关机制在骨肉瘤中的应用进展[J]. 国际肿瘤学杂志, 2024, 51(5): 308-311. |
| [7] | 王昆, 周中新, 臧其威.血清TGF-β1、VEGF水平对非小细胞肺癌患者单孔胸腔镜根治术后复发的预测价值[J]. 国际肿瘤学杂志, 2024, 51(4): 198-203. |
| [8] | 萨蔷, 徐航程, 王佳玉.乳腺癌免疫治疗研究进展[J]. 国际肿瘤学杂志, 2024, 51(4): 227-234. |
| [9] | 杨智, 陆以乔, 顾花艳, 丁佳玲, 郭贵龙.肿瘤微环境介导乳腺癌靶向治疗耐药的研究进展[J]. 国际肿瘤学杂志, 2024, 51(4): 235-238. |
| [10] | 王子豪, 王宇, 杨鑫, 何艺, 莫兴奎, 袁涛.铁死亡在骨肉瘤中的分子机制及相关治疗的研究进展[J]. 国际肿瘤学杂志, 2024, 51(4): 239-244. |
| [11] | 张栋岩, 王品, 魏秋亚, 邓成伍, 魏相相, 高远飞, 王琛.索凡替尼靶向联合卡培他滨和奥沙利铂治疗肝内胆管癌术后患者1例及文献复习[J]. 国际肿瘤学杂志, 2024, 51(4): 249-253. |
| [12] | 严爱婷, 王翠竹, 刘春桂, 鲁小敏.卡瑞利珠单抗与信迪利单抗治疗晚期非小细胞肺癌的临床疗效及安全性分析[J]. 国际肿瘤学杂志, 2024, 51(3): 137-142. |
| [13] | 彭琴, 蔡玉婷, 王伟.KPNA2在肝癌中的研究进展[J]. 国际肿瘤学杂志, 2024, 51(3): 181-185. |
| [14] | 岳红云, 张百红.肿瘤的分化治疗[J]. 国际肿瘤学杂志, 2024, 51(2): 109-113. |
| [15] | 姜溪, 武永存, 梁艳, 楚丽, 段颖欣, 王力军, 霍俊杰.派安普利单抗联合化疗对晚期非小细胞肺癌患者血管生成及循环内皮细胞的影响[J]. 国际肿瘤学杂志, 2024, 51(2): 89-94. |
| 阅读次数 | ||||||
| 全文 |
|
|||||
| 摘要 |
|
|||||
