


国际肿瘤学杂志››2023,Vol. 50››Issue (4): 255-256.doi:10.3760/cma.j.cn371439-20230113-00051
• 病例报道 •上一篇
收稿日期:2023-01-13修回日期:2023-03-04出版日期:2023-04-08发布日期:2023-06-12通讯作者:孙云川,Email:
Received:2023-01-13Revised:2023-03-04Online:2023-04-08Published:2023-06-12摘要:
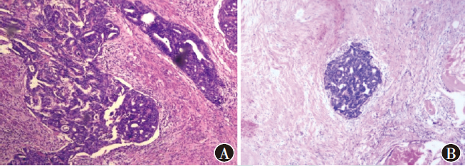
子宫内膜中肾样腺癌是一类罕见的子宫内膜癌亚型,发生率为所有子宫内膜癌的1%。其来源尚不明确,国内外鲜少报道。目前关于该病的临床病理特征、治疗及预后的数据相对较少。现报道1例子宫内膜中肾样腺癌,并复习相关文献,旨在提高临床医师对该病的认识,为后续诊治提供参考。
杨洪娟, 孙云川, 何新颖, 毕建强, 肖丽. 子宫内膜中肾样腺癌1例并文献复习[J]. 国际肿瘤学杂志, 2023, 50(4): 255-256.
| [1] | Seay K, Akanbi T, Bustamante B, et al. Mesonephric-like adenocarcinoma of the ovary with co-existent endometriosis: a case report and review of the literature[J]. Gynecol Oncol Rep, 2020, 34: 100657. DOI: 10.1016/j.gore.2020.100657. doi:10.1016/j.gore.2020.100657 |
| [2] | Kolin DL, Costigan DC, Dong F, et al. A combined morphologic and molecular approach to retrospectively identify KRAS-mutated mesonephric-like adenocarcinomas of the endometrium[J]. Am J Surg Pathol, 2019, 43(3): 389-398. DOI: 10.1097/PAS.0000000000001193. doi:10.1097/PAS.0000000000001193pmid:30489318 |
| [3] | McFarland M, Quick CM, McCluggage WG. Hormone receptor-negative, thyroid transcription factor 1-positive uterine and ovarian adenocarcinomas: report of a series of mesonephric-like adenocarcinomas[J]. Histopathology, 2016, 68(7): 1013-1020. DOI: 10.1111/his.12895. doi:10.1111/his.12895pmid:26484981 |
| [4] | Euscher ED, Bassett R, Duose DY, et al. Mesonephric-like carcinoma of the endometrium: a subset of endometrial carcinoma with an aggressive behavior[J]. Am J Surg Pathol, 2020, 44(4): 429-443. DOI: 10.1097/PAS.0000000000001401. doi:10.1097/PAS.0000000000001401pmid:31725471 |
| [5] | Pors J, Segura S, Chiu DS, et al. Clinicopathologic characteristics of mesonephric adenocarcinomas and mesonephric-like adenocarcinomas in the gynecologic tract: a multi-institutional study[J]. Am J Surg Pathol, 2021, 45(4): 498-506. DOI: 10.1097/PAS.0000000000001612. doi:10.1097/PAS.0000000000001612pmid:33165093 |
| [6] | Patel V, Kipp B, Schoolmeester JK. Corded and hyalinized mesonephric-like adenocarcinoma of the uterine corpus: report of a case mimicking endometrioid carcinoma[J]. Hum Pathol, 2019, 86: 243-248. DOI: 10.1016/j.humpath.2018.08.018. doi:S0046-8177(18)30334-4pmid:30172914 |
| [7] | Yano M, Shintani D, Katoh T, et al. Coexistence of endometrial mesonephric-like adenocarcinoma and endometrioid carcinoma suggests a Müllerian duct lineage: a case report[J]. Diagn Pathol, 2019, 14(1): 54. DOI: 10.1186/s13000-019-0830-4. doi:10.1186/s13000-019-0830-4pmid:31174566 |
| [8] | Kim H, Na K, Bae GE, et al. Mesonephric-like adenocarcinoma of the uterine corpus: comprehensive immunohistochemical analyses using markers for mesonephric, endometrioid and serous tumors[J]. Diagnostics (Basel), 2021, 11(11): 2042. DOI: 10.3390/diagnostics11112042. doi:10.3390/diagnostics11112042 |
| [9] | Howitt BE, Nucci MR. Mesonephric proliferations of the female genital tract[J]. Pathology, 2018, 50(2): 141-150. DOI: 10.1016/j.pathol.2017.11.084. doi:10.1016/j.pathol.2017.11.084 |
| [10] | Dundr P, Gregová M, Němejcová K, et al. Ovarian mesonephric-like adenocarcinoma arising in serous borderline tumor: a case report with complex morphological and molecular analysis[J]. Diagn Pathol, 2020, 15(1): 91. DOI: 10.1186/s13000-020-01012-z. doi:10.1186/s13000-020-01012-zpmid:32693840 |
| [11] | Deolet E, Van Dorpe J, Van de Vijver K. Mesonephric-like adenocarcinoma of the endometrium: diagnostic advances to spot this wolf in sheep's clothing. A review of the literature[J]. J Clin Med, 2021, 10(4): 698. DOI: 10.3390/jcm10040698. doi:10.3390/jcm10040698 |
| [1] | 刘娜, 寇介丽, 杨枫, 刘桃桃, 李丹萍, 韩君蕊, 杨立洲.血清miR-106b-5p、miR-760联合低剂量螺旋CT诊断早期肺癌的临床价值[J]. 国际肿瘤学杂志, 2024, 51(6): 321-325. |
| [2] | 钱晓涛, 石子宜, 胡格, 吴晓维.Ⅲ~ⅣA期食管鳞状细胞癌放化疗后行巩固化疗的疗效:一项真实世界临床研究[J]. 国际肿瘤学杂志, 2024, 51(6): 326-331. |
| [3] | 杨蜜, 别俊, 张加勇, 邓佳秀, 唐组阁, 卢俊.局部晚期可切除食管癌新辅助治疗疗效及预后分析[J]. 国际肿瘤学杂志, 2024, 51(6): 332-337. |
| [4] | 袁健, 黄燕华.Hp-IgG抗体联合血清DKK1、sB7-H3对早期胃癌的诊断价值[J]. 国际肿瘤学杂志, 2024, 51(6): 338-343. |
| [5] | 张百红, 岳红云.新作用机制的抗肿瘤药物进展[J]. 国际肿瘤学杂志, 2024, 51(6): 354-358. |
| [6] | 许凤琳, 吴刚.EBV在鼻咽癌肿瘤免疫微环境和免疫治疗中的研究进展[J]. 国际肿瘤学杂志, 2024, 51(6): 359-363. |
| [7] | 王盈, 刘楠, 郭兵.抗体药物偶联物在转移性乳腺癌治疗中的研究进展[J]. 国际肿瘤学杂志, 2024, 51(6): 364-369. |
| [8] | 张宁宁, 杨哲, 檀丽梅, 李振宁, 王迪, 魏永志.宫颈细胞DNA倍体分析联合B7-H4和PKCδ对宫颈癌的诊断价值[J]. 国际肿瘤学杂志, 2024, 51(5): 286-291. |
| [9] | 陈琦, 徐晨阳, 王寅, 雷大鹏.高光谱成像在头颈部肿瘤诊疗中的应用现状[J]. 国际肿瘤学杂志, 2024, 51(5): 298-302. |
| [10] | 王培鑫, 赵军, 徐世红, 姜朝阳, 王小强, 杨红娟.铁死亡相关机制在骨肉瘤中的应用进展[J]. 国际肿瘤学杂志, 2024, 51(5): 308-311. |
| [11] | 张文馨, 夏泠, 彭晋, 周福祥.甲胎蛋白升高型胃肝样腺癌1例并文献复习[J]. 国际肿瘤学杂志, 2024, 51(5): 312-315. |
| [12] | 王昆, 周中新, 臧其威.血清TGF-β1、VEGF水平对非小细胞肺癌患者单孔胸腔镜根治术后复发的预测价值[J]. 国际肿瘤学杂志, 2024, 51(4): 198-203. |
| [13] | 萨蔷, 徐航程, 王佳玉.乳腺癌免疫治疗研究进展[J]. 国际肿瘤学杂志, 2024, 51(4): 227-234. |
| [14] | 杨智, 陆以乔, 顾花艳, 丁佳玲, 郭贵龙.肿瘤微环境介导乳腺癌靶向治疗耐药的研究进展[J]. 国际肿瘤学杂志, 2024, 51(4): 235-238. |
| [15] | 王子豪, 王宇, 杨鑫, 何艺, 莫兴奎, 袁涛.铁死亡在骨肉瘤中的分子机制及相关治疗的研究进展[J]. 国际肿瘤学杂志, 2024, 51(4): 239-244. |
| 阅读次数 | ||||||
| 全文 |
|
|||||
| 摘要 |
|
|||||
