国际肿瘤学杂志››2025,Vol. 52››Issue (6): 398-400.doi:10.3760/cma.j.cn371439-20241231-00069

• 病例报道 •上一篇

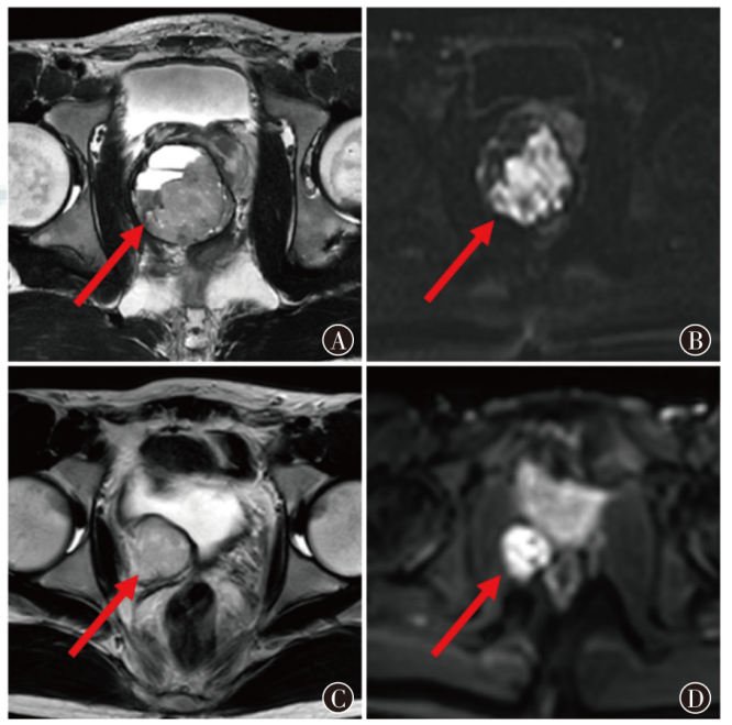
成人前列腺胚胎性横纹肌肉瘤18F-FDG PET/CT显像1例并文献复习

陈静, 李响, 樊鑫, 陈桥梁, 朱彦琳, 何健()

  1. 南京大学医学院附属鼓楼医院核医学科,南京 210008
  • 收稿日期:2024-12-31修回日期:2025-04-11出版日期:2025-06-08发布日期:2025-06-26
  • 通讯作者:何健 E-mail:hjxueren@126.com

    • Received:2024-12-31Revised:2025-04-11Online:2025-06-08Published:2025-06-26

    摘要:

    横纹肌肉瘤(RMS)是间叶组织来源的软组织恶性肿瘤,好发于儿童及青少年,原发于成人前列腺者临床上罕见。现报道1例前列腺胚胎性横纹肌肉瘤(ERMS)患者的诊疗经过及18F-FDG PET/CT表现,结合文献探讨前列腺ERMS的影像学特征及诊疗难点,分析PET/CT在肿瘤分期及随访中的价值,以提高对该类疾病的认识。

    关键词:横纹肌肉瘤,胚胎型,前列腺疾病,磁共振成像,18F-FDG PET/CT

    Baidu
    map