


国际肿瘤学杂志››2020,Vol. 47››Issue (7): 446-448.doi:10.3760/cma.j.cn371439-20200304-00055
• 病例报道 •上一篇
收稿日期:2020-03-04修回日期:2020-04-10出版日期:2020-07-08发布日期:2020-08-18通讯作者:陈敏 E-mail:wominminchen@163.com
Received:2020-03-04Revised:2020-04-10Online:2020-07-08Published:2020-08-18摘要:
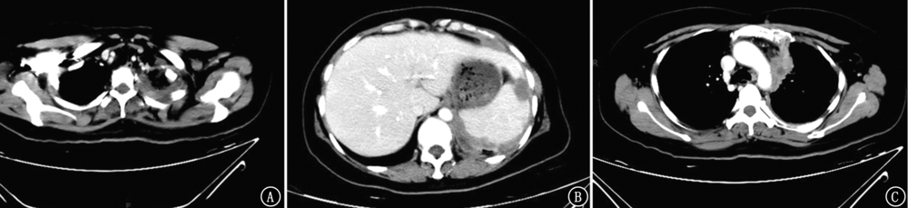
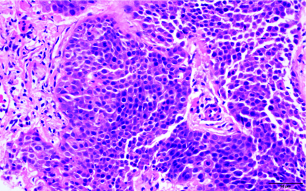
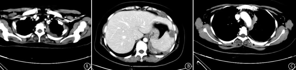
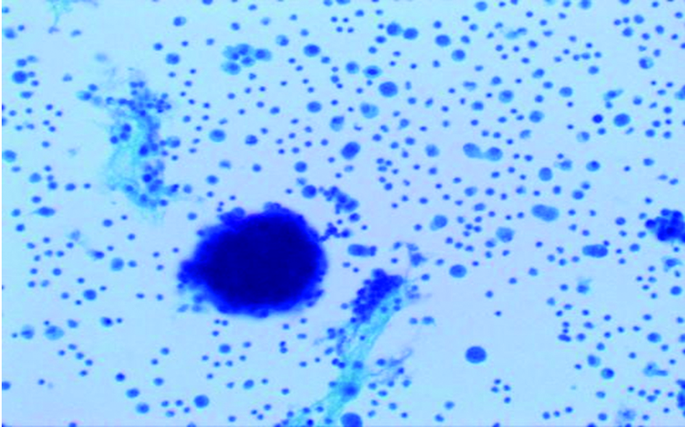
宫颈癌的主要转移途径是直接蔓延、淋巴转移和血行转移,较常见的远处转移部位为肺、肝、骨骼等,宫颈癌胸膜转移报道较少,现报道1例宫颈癌发生胸膜转移并快速进展导致死亡的病例,以提高对少见部位转移的宫颈癌的重视。
彭海艳, 邱惠, 梅自洁, 曹宏, 陈敏. 宫颈癌胸膜转移一例[J]. 国际肿瘤学杂志, 2020, 47(7): 446-448.
| [1] | Ciccone MA, Conturie CL, Lee CM, et al. Toe metastasis: a rare pattern of cervical cancer spread[J]. Gynecol Oncol Case Rep, 2014,8:7-9. DOI: 10.1016/j.gynor.2013.12.004. doi:10.1016/j.gynor.2013.12.004pmid:24567886 |
| [2] | Uhrinak AN, Tierney KE, Duncun KL, et al. Intraocular metastasis from primary cervical cancer: a case report and review of the literature[J]. Gynecol Oncol Rep, 2015,12:61-63. DOI: 10.1016/j.gore.2015.03.003. doi:10.1016/j.gore.2015.03.003pmid:26076161 |
| [3] | Takagi H, Miura S, Matsunami K, et al. Cervical cancer metastasis to the scalp: case report and literature review[J]. Eur J Gynaecol Oncol, 2010,31(2):217-218. pmid:20527246 |
| [4] | Vitorino-Araujo JL, Veiga JC, Barboza VR, et al. Scalp, skull and brain metastasis of squamous cell carcinoma of the cervix-a rare entity[J]. Br J Neurosurg, 2013,27(4):519-520. DOI: 10.3109/02688697.2013.764971. doi:10.3109/02688697.2013.764971pmid:23410006 |
| [5] | Taga S, Sawada M, Nagai A, et al. Splenic metastasis of squamous cell carcinoma of the uterine cervix: a case report and review of the literature[J]. Case Rep Obstet Gynecol, 2014,2014:798948. DOI: 10.1155/2014/798948. doi:10.1155/2014/798948pmid:25152820 |
| [6] | Yu X, Wang Z, Zhang Z, et al. Postoperation of cervical cancer with intestine metastasis: a case report and literature review[J]. World J Surg Oncol, 2016,14(1):2. DOI: 10.1186/s12957-015-0759-3. doi:10.1186/s12957-015-0759-3pmid:26739660 |
| [7] | Byun SW, Park ST, Ki EY, et al. Intracardiac metastasis from known cervical cancer: a case report and literature review[J]. World J Surg Oncol, 2013,11:107. DOI: 10.1186/1477-7819-11-107. doi:10.1186/1477-7819-11-107pmid:23702302 |
| [8] | Travis WD, Brambilla E, Burke AP, et al. Introduction to The 2015 World Health Organization Classification of Tumors of the Lung, Pleura, Thymus, and Heart[J]. J Thorac Oncol, 2015,10(9):1240-1242. DOI: 10.1097/JTO.0000000000000663. pmid:26291007 |
| [9] | Armato SG 3rd, Francis RJ, Katz SI, et al. Imaging in pleural mesothelioma: a review of the 14th International Conference of the International Mesothelioma Interest Group[J]. Lung Cancer, 2019,130:108-114. DOI: 10.1016/j.lungcan.2018.11.033. pmid:30885330 |
| [10] | Nonaka D. A study of ΔNp63 expression in lung non-small cell carcinomas[J]. Am J Surg Pathol, 2012,36(6):895-899. DOI: 10.1097/PAS.0b013e3182498f2b. doi:10.1097/PAS.0b013e3182498f2b |
| [11] | Tatsumori T, Tsuta K, Masai K, et al. p40 is the best marker for diagnosing pulmonary squamous cell carcinoma: comparison with p63, cytokeratin 5/6, desmocollin-3, and sox2[J]. Appl Immunohistochem Mol Morphol, 2014,22(5):377-382. DOI: 10.1097/PAI.0b013e3182980544. pmid:24805133 |
| [12] | Mendaza S, Fernández-Irigoyen J, Santamaría E, et al. Absence of nuclear p16 is a diagnostic and independent prognostic biomarker in squamous cell carcinoma of the cervix[J]. Int J Mol Sci, 2020,21(6):2125. DOI: 10.3390/ijms21062125. doi:10.3390/ijms21062125 |
| [13] | Shroff GS, Benveniste MF, Carter BW, et al. Imaging of metastases in the chest: mechanisms of spread and potential pitfalls[J]. Semin Ultrasound CT MR, 2017,38(6):594-603. DOI: 10.1053/j.sult.2017.07.007. doi:10.1053/j.sult.2017.07.007pmid:29179899 |
| [14] | Hou MM, Liu X, Wheler J, et al. Outcomes of patients with metastatic cervical cancer in a phase Ⅰ clinical trials program[J]. Anticancer Res, 2014,34(5):2349-2355. |
| [1] | 钱晓涛, 石子宜, 胡格, 吴晓维.Ⅲ~ⅣA期食管鳞状细胞癌放化疗后行巩固化疗的疗效:一项真实世界临床研究[J]. 国际肿瘤学杂志, 2024, 51(6): 326-331. |
| [2] | 杨蜜, 别俊, 张加勇, 邓佳秀, 唐组阁, 卢俊.局部晚期可切除食管癌新辅助治疗疗效及预后分析[J]. 国际肿瘤学杂志, 2024, 51(6): 332-337. |
| [3] | 范志鹏, 余静, 胡静, 廖正凯, 徐禹, 欧阳雯, 谢丛华.炎症标志物的变化趋势对一线接受免疫联合化疗的晚期非小细胞肺癌患者预后的预测价值[J]. 国际肿瘤学杂志, 2024, 51(5): 257-266. |
| [4] | 杨琳, 路宁, 温华, 张明鑫, 朱琳.炎症负荷指数与胃癌临床关系研究[J]. 国际肿瘤学杂志, 2024, 51(5): 274-279. |
| [5] | 张宁宁, 杨哲, 檀丽梅, 李振宁, 王迪, 魏永志.宫颈细胞DNA倍体分析联合B7-H4和PKCδ对宫颈癌的诊断价值[J]. 国际肿瘤学杂志, 2024, 51(5): 286-291. |
| [6] | 刘萍萍, 何学芳, 张翼, 杨旭, 张珊珊, 季一飞.原发性脑胶质瘤患者术后复发危险因素及预测模型构建[J]. 国际肿瘤学杂志, 2024, 51(4): 193-197. |
| [7] | 万芳, 杨钢, 李睿, 万启晶.食管癌患者血清miR-497、miR-383水平及临床意义[J]. 国际肿瘤学杂志, 2024, 51(4): 204-209. |
| [8] | 姚益新, 沈煜霖.血清SOCS3、TXNIP水平对肝细胞癌TACE治疗预后的预测价值[J]. 国际肿瘤学杂志, 2024, 51(4): 217-222. |
| [9] | 孙维蔚, 姚学敏, 王鹏健, 王静, 贾敬好.基于血液学指标探讨免疫治疗晚期非小细胞肺癌预后因素及列线图构建[J]. 国际肿瘤学杂志, 2024, 51(3): 143-150. |
| [10] | 刘玉兰, 井海燕, 孙静, 宋伟, 沙丹.胃癌免疫治疗疗效预测及预后标志物的研究进展[J]. 国际肿瘤学杂志, 2024, 51(3): 175-180. |
| [11] | 彭琴, 蔡玉婷, 王伟.KPNA2在肝癌中的研究进展[J]. 国际肿瘤学杂志, 2024, 51(3): 181-185. |
| [12] | 陈波光, 王苏贵, 张永杰.血清胆碱酯酶与炎症标志物在ⅠA~ⅢA期乳腺癌预后中的作用[J]. 国际肿瘤学杂志, 2024, 51(2): 73-82. |
| [13] | 金旭东, 陈忠坚, 毛伟敏.MTAP基因在恶性间皮瘤中的研究进展[J]. 国际肿瘤学杂志, 2024, 51(2): 99-104. |
| [14] | 黄镇, 陈永顺.循环肿瘤DNA在肝细胞癌诊疗中的研究进展[J]. 国际肿瘤学杂志, 2024, 51(1): 59-64. |
| [15] | 王潇, 李盈, 罗玉杰, 晋舒.基于列线图模型探讨血清学指标对鼻咽癌预后的判断价值[J]. 国际肿瘤学杂志, 2023, 50(8): 463-469. |
| 阅读次数 | ||||||
| 全文 |
|
|||||
| 摘要 |
|
|||||
