国际肿瘤学杂志››2021,Vol. 48››Issue (10): 591-595.doi:10.3760/cma.j.cn371439-20200707-00116

• 论著 •上一篇下一篇

肺部转移性腺癌及鳞状细胞癌非典型MSCT多形性表现

张贝1, 王叶2, 胡隽2, 李妹2, 王君3, 穆允凤4, 杨博2()

  1. 1陕西省肿瘤医院CT室,西安 710061
    2中国人民解放军中部战区总医院放射科,武汉430010
    3陕西省肿瘤医院麻醉科,西安 710061
    4陕西省肿瘤医院放疗科,西安710061
  • 收稿日期:2020-07-07修回日期:2021-09-14出版日期:2021-10-08发布日期:2021-11-24
  • 通讯作者:杨博 E-mail:49007877@qq.com
  • 基金资助:
    陕西省科技厅社会发展一般项目(2020SF-043);陕西省科技厅自然科学基础研究一般项目(2020JQ-950);陕西省科技厅自然科学基础研究一般项目(2020JQ-954)

Atypical MSCT pleomorphic signs in metastatic adenocarcinoma and squamous cell carcinoma of the lung

Zhang Bei1, Wang Ye2, Hu Jun2, Li Mei2, Wang Jun3, Mu Yunfeng4, Yang Bo2()

  1. 1CT Department, Shaanxi Provincial Tumor Hospital, Xi'an 710061, China
    2Department of Radiology, General Hospital of Central Theater Command of the Chinese People's Liberation Army, Wuhan 430010, China
    3Department of Anesthesiology, Shaanxi Provincial Tumor Hospital, Xi'an 710061, China
    4Department of Radiation Oncology, Shaanxi Provincial Tumor Hospital, Xi'an 710061, China
  • Received:2020-07-07Revised:2021-09-14Online:2021-10-08Published:2021-11-24
  • Contact:Yang Bo E-mail:49007877@qq.com
  • Supported by:
    General Social Development Project of Shaanxi Science and Technology Department(2020SF-043);Basic Research project of Natural Science of Shaanxi Science and Technology Department(2020JQ-950);Basic Research project of Natural Science of Shaanxi Science and Technology Department(2020JQ-954)

摘要:

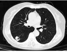
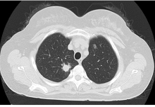
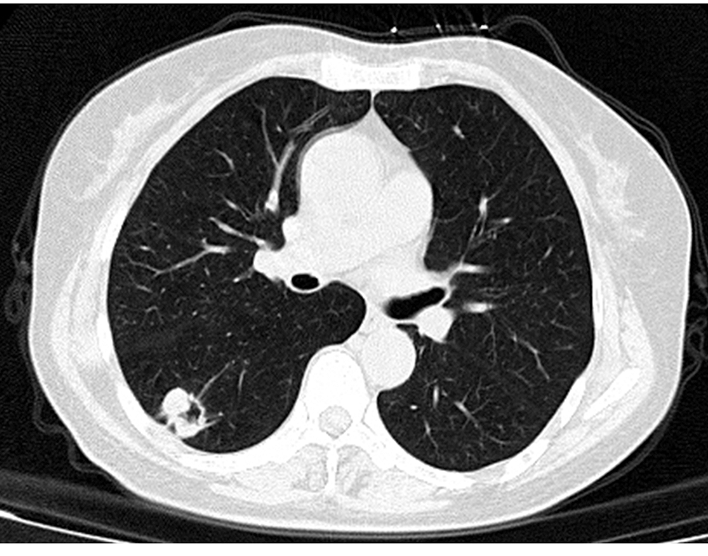
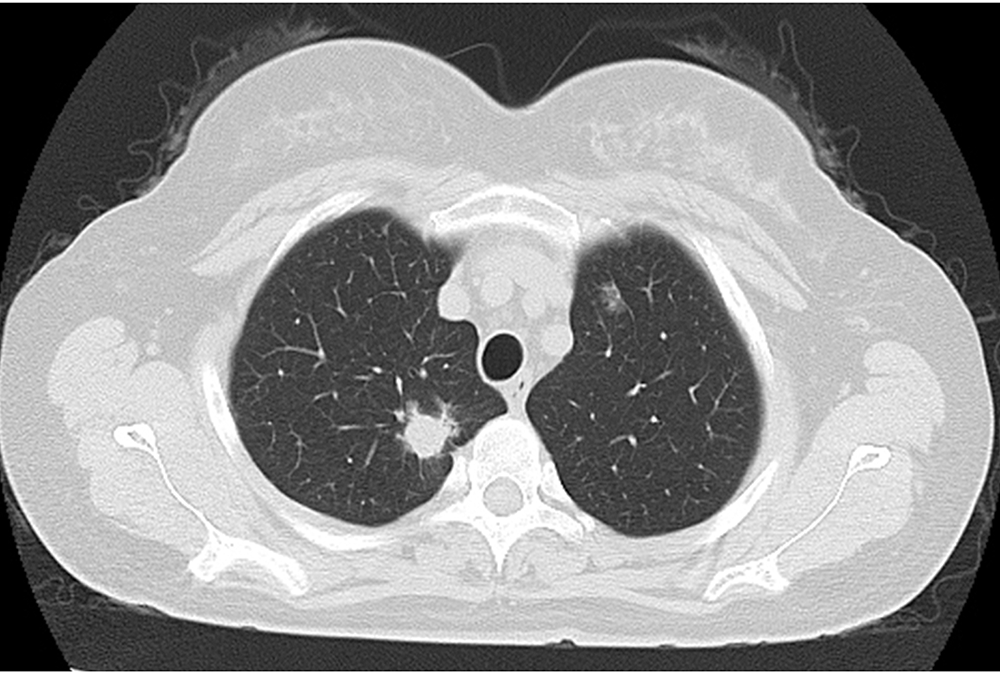
目的探讨肺部转移瘤非典型多层螺旋CT(MSCT)多形性表现与病理结果的相关性。方法收集2012年1月至2019年7月中国人民解放军中部战区总医院和陕西省肿瘤医院168枚肺部转移瘤的MSCT胸部影像学资料,根据病理类型分为转移性腺癌(88枚)及转移性鳞状细胞癌(80枚)。分别观察并记录两组肺部转移瘤非典型MSCT的影像学征象,逐一标记后归类,比较两组非典型MSCT影像特征间的差异,分析转移性腺癌及转移性鳞状细胞癌组内病灶大小与非典型MSCT影像特征的相关性。结果肺部转移性腺癌和转移性鳞状细胞癌毛刺征分别为61枚(69.32%)、28枚(35.00%),组间比较差异有统计学意义(χ2=19.811,P<0.001);胸膜凹陷征分别为48枚(54.55%)、16枚(20.00%),组间比较差异有统计学意义(χ2=21.206,P<0.001);空泡/空洞征分别为10枚(11.36%)、61枚(76.25%),组间比较差异有统计学意义(χ2=72.303,P<0.001);含气支气管征分别为43枚(48.86%)、13枚(16.25%),组间比较差异有统计学意义(χ2=20.057,P<0.001);晕征/磨玻璃影分别为58枚(65.91%)、37枚(46.25%),组间比较差异有统计学意义(χ2=6.591,P=0.010)。Spearman秩相关分析显示,转移性腺癌结节大小与毛刺征、胸膜凹陷征呈正相关(r=0.270,P=0.011;r=0.226,P=0.035);转移性鳞状细胞癌结节大小与非典型MSCT影像特征均无关(均P>0.05)。结论肺部转移性腺癌非典型MSCT多表现为毛刺征、胸膜凹陷征、含气支气管征及晕征/磨玻璃影,转移性鳞状细胞癌多表现为空泡/空洞征。毛刺征、胸膜凹陷征与肺部转移性腺癌结节大小有相关性。

关键词:肺转移性肿瘤,肺腺癌,肺鳞状细胞癌,多层螺旋CT

Abstract:

ObjectiveTo investigate the correlations between multi-slice spiral CT (MSCT) atypical pleomorphic signs and pathological findings of lung metastases.MethodsFrom January 2012 to July 2019, the MSCT chest imaging data of 168 metastatic tumor of lung from the General Hospital of Central Theater Command of the Chinese People's Liberation Army and Shaanxi Provincial Tumor Hospital were collected. According to the pathological type, they were divided into metastatic adenocarcinoma group (n=88) and metastatic squamous cell carcinoma group (n=80). The atypical imaging signs of MSCT of the two groups were observed and recorded, and classified after labeling one by one. The difference of atypical MSCT imaging features between the two groups was compared, and the correlations between lesion size and atypical imaging features of MSCT in the metastatic adenocarcinoma group and metastatic squamous cell carcinoma group were analyzed.ResultsThe spicule sign in metastatic adenocarcinoma and metastatic squamous cell carcinoma were 61 (69.32%) and 28 (35.00%), with a statistically significant difference (χ2=19.811,P<0.001). The pleural depression sign in the two groups were 48 (54.55%) and 16 (20.00%), and there was a statistically significant difference (χ2=21.206,P<0.001). The vacuole/cavity sign in the two groups were 10 (11.36%) and 61 (76.25%), and there was a statistically significant difference (χ2=72.303,P<0.001). The air bronchial sign in the two groups were 43 (48.86%) and 13 (16.25%), with a statistically significant difference (χ2=20.057, P<0.001). The halo sign/ground glass shadow in the two groups were 58 (65.91%) and 37 (46.25%), with a statistically significant difference (χ2=6.591,P=0.010). The results of the Spearman rank correlation analysis indicated a positive correlation between the size of metastatic adenocarcinoma and spicule sign, pleural depression sign (r=0.270,P=0.011;r=0.226,P=0.035). There was no correlation between the nodule size and atypical MSCT imaging features in metastatic squamous cell carcinoma (allP>0.05).ConclusionThe atypical MSCT of metastatic lung adenocarcinoma are mostly spicule sign, pleural depression sign, air bronchial sign and halo sign/ground glass shadow. The characteristic atypical imaging of metastatic squamous cell carcinoma is vacuole/cavity sign. The spicule sign and pleural depression sign are related to the size of metastatic lung adenocarcinoma nodules.

Key words:Metastatic tumor of lung,Lung adenocarcinoma,Lung squamous cell carcinoma,Multi-slice spiral CT

Baidu
map