


国际肿瘤学杂志››2022,Vol. 49››Issue (9): 526-531.doi:10.3760/cma.j.cn371439-20220221-00102
收稿日期:2022-02-21修回日期:2022-04-27出版日期:2022-09-08发布日期:2022-10-21通讯作者:曹风军 E-mail:fengjuncao@hbmu.edu.cn基金资助:
Song Tongjun, Deng Rui, Fei Lei, Lei Jinhua, Cao Fengjun(
)
Received:2022-02-21Revised:2022-04-27Online:2022-09-08Published:2022-10-21Contact:Cao Fengjun E-mail:fengjuncao@hbmu.edu.cnSupported by:
摘要:
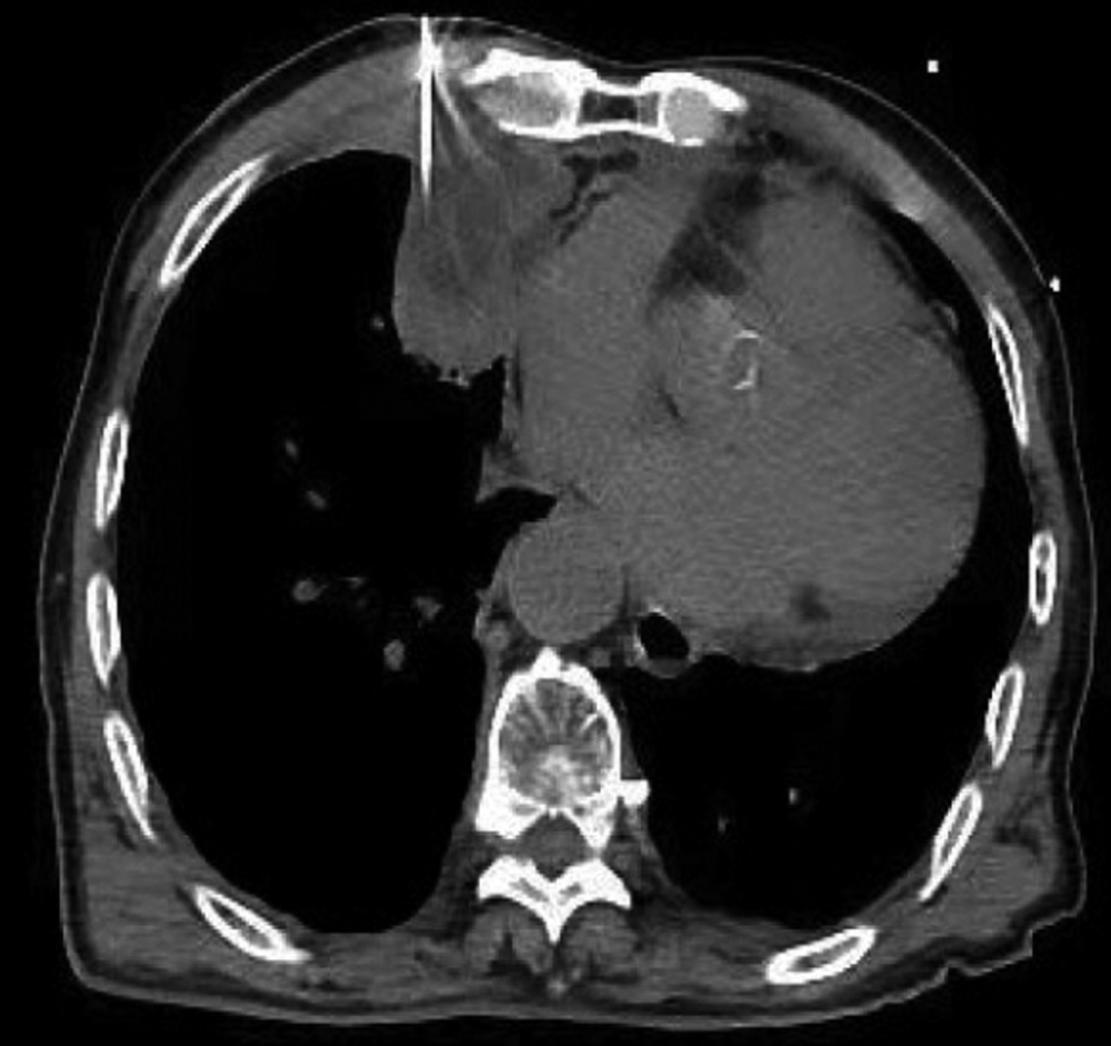
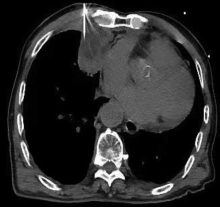
目的比较CT与超声引导下经皮肺或胸膜病变穿刺活检的有效性和安全性。方法回顾性分析2017年2月至2020年10月在湖北医药学院附属十堰市人民医院接受CT或超声引导下经皮穿刺的病灶靠近胸膜的193例肺占位患者的临床资料。根据穿刺方式将患者分为CT引导组(n=115)和超声引导组(n=78)。比较两组患者的一般临床资料、病理检查结果及穿刺成功率、并发症发生率。采用logistic回归进行单因素、多因素分析。结果CT引导组恶性肿瘤检出率(60.00%,69/115)高于超声引导组(50.00%,39/78),但差异无统计学意义(χ2=1.89,P=0.170)。CT引导组穿刺成功率(88.70%,102/115)略低于超声引导组(93.59%,73/78),差异无统计学意义(χ2=1.32,P=0.251)。CT引导组术后并发症发生率(18.26%,21/115)高于超声引导组(6.41%,5/78),差异有统计学意义(χ2=5.60,P=0.018);CT引导组气胸发生率(13.04%,15/115)高于超声引导组(3.85%,3/78),差异有统计学意义(χ2=4.65,P=0.031);CT引导组出血发生率(5.22%,6/115)高于超声引导组(2.56%,2/78),差异无统计学意义(χ2=0.82,P=0.364)。CT引导组中有1例(0.87%)患者出现严重出血需要手术治疗,5例(4.35%)需要胸腔闭式引流进行治疗,超声引导组中未出现气胸或出血需要进行引流或手术治疗患者。单因素分析发现穿刺方法为影响病变-胸膜接触弧长(LPCAL)≥38 mm的患者穿刺成功率的独立危险因素(OR=7.82,95%CI为1.57~35.50,P=0.039);多因素分析显示穿刺方法为影响LPCAL≥38 mm患者穿刺成功率的独立危险因素(OR=7.75,95%CI为1.44~41.36,P=0.042)。LPCAL≥38 mm患者中,CT和超声引导穿刺成功率分别为84.38%(54/64)、98.00%(49/50),CT引导穿刺成功率低于超声引导,差异具有统计学意义(χ2=4.52,P=0.034);LPCAL<38 mm患者中,CT和超声引导穿刺成功率分别为94.12%(48/51)、85.71%(24/28),CT引导的穿刺成功率高于超声引导,但差异无统计学意义(χ2=0.71,P=0.399)。结论超声引导下经皮肺或胸膜病变穿刺活检具有诊断正确率高、并发症少等优点,其与CT引导下穿刺活检均为胸壁病变穿刺的可行方法。当LPCAL≥38 mm时,超声引导下穿刺活检可能更具优势。
宋彤骏, 邓睿, 费蕾, 雷金华, 曹风军. CT与超声引导下经皮肺或胸膜病变穿刺活检的有效性和安全性比较[J]. 国际肿瘤学杂志, 2022, 49(9): 526-531.
Song Tongjun, Deng Rui, Fei Lei, Lei Jinhua, Cao Fengjun. Comparison of the efficacy and safety of percutaneous needle biopsy of pulmonary or pleural lesions guided by CT and ultrasound[J]. Journal of International Oncology, 2022, 49(9): 526-531.
表1
两组近胸壁肺占位穿刺患者一般临床资料比较(例)"
| 基线特征 | CT引导组 (n=115) |
超声引导组 (n=78) |
χ2值 | P值 |
|---|---|---|---|---|
| 性别 | ||||
| 男 | 69 | 55 | 2.24 | 0.135 |
| 女 | 46 | 23 | ||
| 年龄(岁) | ||||
| ≤60 | 51 | 32 | 0.21 | 0.647 |
| >60 | 64 | 46 | ||
| 病变部位 | ||||
| 左 | 61 | 36 | 0.88 | 0.348 |
| 右 | 54 | 42 | ||
| BMI | ||||
| <21 | 63 | 44 | 0.05 | 0.823 |
| ≥21 | 52 | 34 | ||
| 基线特征 | CT引导组 (n=115) |
超声引导组 (n=78) |
χ2值 | P值 |
| 吸烟史 | ||||
| 是 | 56 | 37 | 0.03 | 0.864 |
| 否 | 59 | 41 | ||
| FEV1/pred(%) | ||||
| <80 | 43 | 23 | 1.29 | 0.256 |
| ≥80 | 72 | 55 | ||
| FEV1/FVC(%) | ||||
| <70 | 49 | 32 | 0.05 | 0.827 |
| ≥70 | 66 | 46 | ||
| 病灶大小(mm) | ||||
| <40 | 55 | 30 | 1.65 | 0.198 |
| ≥40 | 60 | 48 | ||
| LPCAL(mm) | ||||
| <38 | 51 | 28 | 1.37 | 0.241 |
| ≥38 | 64 | 50 | ||
| [1] | Siegel RL, Miller KD, Fuchs HE, et al. Cancer statistics, 2022[J]. CA Cancer J Clin, 2022, 72(1): 7-33. DOI: 10.3322/caac.21708. doi:10.3322/caac.21708 |
| [2] | Faiella E, Frauenfelder G, Santucci D, et al. Percutaneous low-dose CT-guided lung biopsy with an augmented reality navigation system: validation of the technique on 496 suspected lesions[J]. Clin Imaging, 2018, 49: 101-105. DOI: 10.1016/j.clinimag.2017.11.013. doi:10.1016/j.clinimag.2017.11.013 |
| [3] | Schneider CS, Oster RA, Hegde A, et al. Nonoperative treatment of large (5-7 cm), node-negative non-small cell lung cancer commonly deviates from NCCN Guidelines[J]. J Natl Compr Canc Netw, 2021, 20(4): 371-377. e5. DOI: 10.6004/jnccn.2021.7043. doi:10.6004/jnccn.2021.7043 |
| [4] | Halpenny D, Das K, Ziv E, et al. Percutaneous computed tomography guided biopsy of sub-solid pulmonary nodules: differentiating solid from ground glass components at the time of biopsy[J]. Clin Imaging, 2021, 69: 332-338. DOI: 10.1016/j.clinimag.2020.07.011. doi:10.1016/j.clinimag.2020.07.011 |
| [5] | Xu C, Yuan Q, Chi C, et al. Computed tomography-guided percutaneous transthoracic needle biopsy for solitary pulmonary nodules in diameter less than 20 mm[J]. Medicine (Baltimore), 2018, 97(14): e0154. DOI: 10.1097/MD.0000000000010154. doi:10.1097/MD.0000000000010154 |
| [6] | Yamamoto N, Watanabe T, Yamada K, et al. Efficacy and safety of ultrasound (US) guided percutaneous needle biopsy for peripheral lung or pleural lesion: comparison with computed tomography (CT) guided needle biopsy[J]. J Thorac Dis, 2019, 11(3): 936-943. DOI: 10.21037/jtd.2019.01.88. doi:10.21037/jtd.2019.01.88pmid:31019783 |
| [7] | Jarmakani M, Duguay S, Rust K, et al. Ultrasound versus computed tomographic guidance for percutaneous biopsy of chest lesions[J]. J Ultrasound Med, 2016, 35(9): 1865-1872. DOI: 10.7863/ultra.15.10029. doi:10.7863/ultra.15.10029pmid:27388815 |
| [8] | 邱旭龙, 李锐雄, 卢来顺, 等. 比较超声与CT引导经皮同轴穿刺活检在周围型肺肿物中的诊断价值[J]. 岭南急诊医学杂志, 2021, 26(2): 184-186. DOI: 10.3969/j.issn.1671-301X.2021.02.026. doi:10.3969/j.issn.1671-301X.2021.02.026 |
| [9] | Park J, Park B, Lim JK, et al. Ultrasound-guided percutaneous needle biopsy for small pleural lesions: diagnostic yield and impact of CT and ultrasound characteristics[J]. AJR Am J Roentgenol, 2021, 217(3): 699-706. DOI: 10.2214/AJR.20.24120. doi:10.2214/AJR.20.24120 |
| [10] | Zhang Y, Huang H, Cao S, et al. Clinical value of an electromagnetic navigation system for CT-guided percutaneous lung biopsy of peripheral lung lesions[J]. J Thorac Dis, 2021, 13(8): 4885-4893. DOI: 10.21037/jtd-21-395. doi:10.21037/jtd-21-395pmid:34527327 |
| [11] | Jeon MC, Kim JO, Jung SS, et al. CT-guided percutaneous transthoracic needle biopsy using the additional laser guidance system by a pulmonologist with 2 years of experience in CT-guided percutaneous transthoracic needle biopsy[J]. Tuberc Respir Dis (Seoul), 2018, 81(4): 330-338. DOI: 10.4046/trd.2017.0123. doi:10.4046/trd.2017.0123 |
| [12] | Cozzolino I, Ronchi A, Messina G, et al. Adequacy of cytologic samples by ultrasound-guided percutaneous transthoracic fine-needle aspiration cytology of peripheral pulmonary nodules for morphologic diagnosis and molecular evaluations: comparison with computed tomography-guided percutaneous transthoracic fine-needle aspiration cytology[J]. Arch Pathol Lab Med, 2020, 144(3): 361-369. DOI: 10.5858/arpa.2018-0346-OA. doi:10.5858/arpa.2018-0346-OApmid:31329477 |
| [13] | Zhang P, Liu JM, Zhang YY, et al. Computed tomography-guided lung biopsy: a meta-analysis of low-dose and standard-dose protocols[J]. J Cancer Res Ther, 2021, 17(3): 695-701. DOI: 10.4103/jcrt.JCRT_1274_20. doi:10.4103/jcrt.JCRT_1274_20pmid:34269301 |
| [14] | Drumm O, Joyce EA, de Blacam C, et al. CT-guided lung biopsy: effect of biopsy-side down position on pneumothorax and chest tube placement[J]. Radiology, 2019, 292(1): 190-196. DOI: 10.1148/radiol.2019182321. doi:10.1148/radiol.2019182321pmid:31084480 |
| [15] | Pérez Montilla ME, Lombardo Galera S, Espejo Herrero JJ, et al. Diagnostic performance of imaging-guided core needle biopsy of the mesentery and peritoneum[J]. Radiologia (Engl Ed), 2018, 60(2): 128-135. DOI: 10.1016/j.rx.2017.12.003. doi:10.1016/j.rx.2017.12.003 |
| [16] | Lemieux S, Kim T, Pothier-Piccinin O, et al. Ultrasound-guided transthoracic needle biopsy of the lung: sensitivity and safety variables[J]. Eur Radiol, 2021, 31(11): 8272-8281. DOI: 10.1007/s00330-021-07888-9. doi:10.1007/s00330-021-07888-9 |
| [17] | Portela-Oliveira E, Souza CA, Gupta A, et al. Ultrasound-guided percutaneous biopsy of thoracic lesions: high diagnostic yield and low complication rate[J]. Clin Radiol, 2021, 76(4): 281-286. DOI: 10.1016/j.crad.2020.12.004. doi:10.1016/j.crad.2020.12.004pmid:33531160 |
| [18] | Heerink WJ, de Bock GH, de Jonge GJ, et al. Complication rates of CT-guided transthoracic lung biopsy: meta-analysis[J]. Eur Radiol, 2017, 27(1): 138-148. DOI: 10.1007/s00330-016-4357-8. doi:10.1007/s00330-016-4357-8pmid:27108299 |
| [19] | Navin PJ, Eickstaedt NL, Atwell TD, et al. Safety and efficacy of percutaneous image-guided mediastinal mass core-needle biopsy[J]. Mayo Clin Proc Innov Qual Outcomes, 2021, 5(6): 1100-1108. DOI: 10.1016/j.mayocpiqo.2021.09.006. doi:10.1016/j.mayocpiqo.2021.09.006pmid:34877475 |
| [1] | 赵鑫, 范学武, 田龙, 胡逸民.三维超声在前列腺癌图像引导放疗中的应用与评价研究[J]. 国际肿瘤学杂志, 2024, 51(1): 43-49. |
| [2] | 谢宇, 蒋澄, 黄明敏, 郭爱斌, 尹震宇, 林永娟.超声测量视神经鞘直径评估鞘内灌注化疗对非小细胞肺癌软脑膜转移患者颅内压的影响[J]. 国际肿瘤学杂志, 2023, 50(9): 532-539. |
| [3] | 冯诚天, 黄芙蓉, 曹世玉, 王健宇, 南丁阿比雅思, 姜永冬, 朱娟英.HER2阳性乳腺癌患者HER2表达水平与影像学特征的关系[J]. 国际肿瘤学杂志, 2023, 50(9): 527-531. |
| [4] | 高君蓉, 曹曼卿, 邓迎红.超声造影在肝细胞癌诊断及治疗中的研究进展[J]. 国际肿瘤学杂志, 2022, 49(7): 425-429. |
| [5] | 张玉敏, 赵现伟, 何前进, 陈杰能.超声造影联合血清CXCL8、CXCR2在原发性肝癌经导管动脉化疗栓塞术后疗效评估中的价值分析[J]. 国际肿瘤学杂志, 2022, 49(10): 592-596. |
| [6] | 张鹏鹏1, 王丽娜1, 王丽娟2, 李婷2, 马转珍1, 张锦1, 王盼盼1, 席亚明1.多发性骨髓瘤相关间质性肺炎一例[J]. 国际肿瘤学杂志, 2019, 46(2): 121-123. |
| [7] | 吴大鹏,孙仁虎,李杨,韩树堂,肖君.放大内镜联合窄带成像与超声内镜判断早期食管癌浸润深度准确性的对比研究[J]. 国际肿瘤学杂志, 2019, 46(1): 22-26. |
| [8] | 卢荣增, 刘建山, 雷星, 高永涛, 高红艳, 白铁成.影像学检查在结直肠癌术前分期诊断中的应用[J]. 国际肿瘤学杂志, 2017, 44(8): 622-625. |
| [9] | 王薇茜, 邓炯.慢性阻塞性肺病与肺癌的相互关系[J]. 国际肿瘤学杂志, 2014, 41(6): 439-443. |
| [10] | 鲍玲丽, 吴爱兵, 杨志雄.血清KL-6在肺癌放射性肺炎中的研究进展[J]. 国际肿瘤学杂志, 2013, 40(8): 593-595. |
| [11] | 邓玲慧, 陶敏.常用抗肿瘤药物相关肺毒性[J]. 国际肿瘤学杂志, 2012, 39(8): 584-587. |
| 阅读次数 | ||||||
| 全文 |
|
|||||
| 摘要 |
|
|||||