


国际肿瘤学杂志››2022,Vol. 49››Issue (12): 766-768.doi:10.3760/cma.j.cn371439-20220816-00151
• 病例报道 •上一篇
收稿日期:2022-08-16修回日期:2022-10-14出版日期:2022-12-08发布日期:2023-01-05通讯作者:孙鹏飞 E-mail:ery_sunpf@lzu.edu.cn
Received:2022-08-16Revised:2022-10-14Online:2022-12-08Published:2023-01-05摘要:
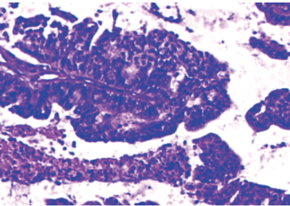
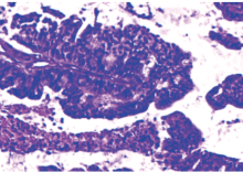
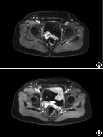
盐酸安罗替尼为多靶点小分子酪氨酸激酶抑制剂,可作用于肿瘤新生血管,并诱导肿瘤细胞凋亡,其广泛应用于肾细胞癌、结直肠癌、肝癌等肿瘤的治疗。本例应用放化疗联合盐酸安罗替尼治疗复发性子宫内膜癌患者,取得满意的疗效。
鲁历历, 孙鹏飞, 叶斌强. 放化疗联合盐酸安罗替尼治疗复发性子宫内膜癌1例[J]. 国际肿瘤学杂志, 2022, 49(12): 766-768.
| [1] | Siegel RL, Miller KD, Fuchs HE, et al. Cancer statistics, 2021[J]. CA Cancer J Clin, 2021, 71(1): 7-33. DOI: 10.3322/caac.21654. doi:10.3322/caac.21654 |
| [2] | Rütten H, Verhoef C, van Weelden WJ, et al. Recurrent endome-trial cancer: local and systemic treatment options[J]. Cancers (Basel), 2021, 13(24): 6275. DOI: 10.3390/cancers13246275. doi:10.3390/cancers13246275 |
| [3] | Creutzberg CL, van Putten WL, Koper PC, et al. Surgery and posto-perative radiotherapy versus surgery alone for patients with stage-1 endometrial carcinoma: multicentre randomised trial. PORTEC Study Group. Post operative radiation therapy in endometrial carcinoma[J]. Lancet, 2000, 355(9213): 1404-1411. DOI: 10.1016/s0140-6736(00)02139-5. doi:10.1016/s0140-6736(00)02139-5pmid:10791524 |
| [4] | 徐兴远, 王丹波. 复发性子宫内膜癌的治疗[J]. 中国实用妇科与产科杂志, 2022, 38(5): 507-511. DOI: 10.19538/j.fk2022050108. doi:10.19538/j.fk2022050108 |
| [5] | Sapienza LG, Ning MS, de la Pena R, et al. Outcomes and toxicity after salvage radiotherapy for vaginal relapse of endometrial cancer[J]. Int J Gynecol Cancer, 2020, 30(10): 1535-1541. DOI: 10. 1136/ijgc-2020-001281. doi:10.1136/ijgc-2020-001281pmid:32376738 |
| [6] | Crosbie EJ, Kitson SJ, McAlpine JN, et al. Endometrial cancer[J]. Lancet, 2022, 399(10333): 1412-1428. DOI: 10.1016/S0140-6736(22)00323-3. doi:10.1016/S0140-6736(22)00323-3pmid:35397864 |
| [7] | 中国抗癌协会妇科肿瘤专业委员会. 子宫内膜癌诊断与治疗指南(2021年版)[J]. 中国癌症杂志, 2021, 31(6): 501-512. DOI: 10.19401/j.cnki.1007-3639.2021.06.08. doi:10.19401/j.cnki.1007-3639.2021.06.08 |
| [8] | Miller DS, Filiaci VL, Mannel RS, et al. Carboplatin and paclitaxel for advanced endometrial cancer: final overall survival and adverse event analysis of a phase Ⅲ trial (NRG oncology/GOG0209)[J]. J Clin Oncol, 2020, 38(33): 3841-3850. DOI: 10.1200/JCO.20. 01076. doi:10.1200/JCO.20.01076pmid:33078978 |
| [9] | 殷爱军, 李鹏, 宋坤, 等. 安罗替尼在妇科肿瘤治疗中的现状及研究进展[J]. 现代妇产科进展, 2022, 31(5): 384-388, 393. DOI: 10.13283/j.cnki.xdfckjz.2022.05.016. doi:10.13283/j.cnki.xdfckjz.2022.05.016 |
| [10] | Cui Q, Mao Y, Hu Y, et al. Anlotinib in recurrent or metastatic endometrial cancer[J]. Int J Gynecol Cancer, 2022, 32: 1147-1152. DOI: 10.1136/ijgc-2022-003345. doi:10.1136/ijgc-2022-003345 |
| [11] | Wei W, Ban X, Yang F, et al. Phase Ⅱ trial of efficacy, safety and biomarker analysis of sintilimab plus anlotinib for patients with recurrent or advanced endometrial cancer[J]. J Immunother Cancer, 2022, 10(5): e004338. DOI: 10.1136/jitc-2021-004338. doi:10.1136/jitc-2021-004338 |
| [12] | Taurin S, Yang CH, Reyes M, et al. Endometrial cancers harbo-ring mutated fibroblast growth factor receptor 2 protein are success-fully treated with a new small tyrosine kinase inhibitor in an orthotopic mouse model[J]. Int J Gynecol Cancer, 2018, 28(1): 152-160. DOI: 10.1097/IGC.0000000000001129. doi:10.1097/IGC.0000000000001129 |
| [13] | Lin B, Song X, Yang D, et al. Anlotinib inhibits angiogenesis via suppressing the activation of VEGFR2, PDGFRβ and FGFR1[J]. Gene, 2018, 654: 77-86. DOI: 10.1016/j.gene.2018.02.026. doi:S0378-1119(18)30155-0pmid:29454091 |
| [14] | Jablonski S. Online endometrial cancer/anlotinib/anlotinib hydroch-loride[DB/OL]. Bethesda (MD): National Library of Medicine (US). (2021-11-30)[2022-8-12]. http://www.nlm.nih.gov. |
| [1] | 钱晓涛, 石子宜, 胡格, 吴晓维.Ⅲ~ⅣA期食管鳞状细胞癌放化疗后行巩固化疗的疗效:一项真实世界临床研究[J]. 国际肿瘤学杂志, 2024, 51(6): 326-331. |
| [2] | 王盈, 刘楠, 郭兵.抗体药物偶联物在转移性乳腺癌治疗中的研究进展[J]. 国际肿瘤学杂志, 2024, 51(6): 364-369. |
| [3] | 王培鑫, 赵军, 徐世红, 姜朝阳, 王小强, 杨红娟.铁死亡相关机制在骨肉瘤中的应用进展[J]. 国际肿瘤学杂志, 2024, 51(5): 308-311. |
| [4] | 杨智, 陆以乔, 顾花艳, 丁佳玲, 郭贵龙.肿瘤微环境介导乳腺癌靶向治疗耐药的研究进展[J]. 国际肿瘤学杂志, 2024, 51(4): 235-238. |
| [5] | 张栋岩, 王品, 魏秋亚, 邓成伍, 魏相相, 高远飞, 王琛.索凡替尼靶向联合卡培他滨和奥沙利铂治疗肝内胆管癌术后患者1例及文献复习[J]. 国际肿瘤学杂志, 2024, 51(4): 249-253. |
| [6] | 钱晓涛, 石子宜, 胡格.Ⅲ~ⅣA期食管鳞状细胞癌根治性放化疗后行免疫检查点抑制剂维持治疗的真实世界临床研究[J]. 国际肿瘤学杂志, 2024, 51(3): 151-156. |
| [7] | 马正红, 姜超.非小细胞肺癌KRASG12C突变的研究进展[J]. 国际肿瘤学杂志, 2024, 51(2): 95-98. |
| [8] | 黄辉, 丁江华.靶向FGFR2治疗晚期胆管癌的研究进展[J]. 国际肿瘤学杂志, 2023, 50(9): 569-573. |
| [9] | 李开春, 丁昌利, 于文艳.安罗替尼联合特瑞普利单抗治疗晚期肺肉瘤样癌1例[J]. 国际肿瘤学杂志, 2023, 50(8): 511-512. |
| [10] | 陈秋, 王雷, 王明琦, 张梅.恩沃利单抗联合阿昔替尼治疗肾癌肺转移1例并文献复习[J]. 国际肿瘤学杂志, 2023, 50(7): 445-448. |
| [11] | 李青珊, 谢鑫, 张楠, 刘帅.放疗联合系统治疗在乳腺癌中的应用进展[J]. 国际肿瘤学杂志, 2023, 50(6): 362-367. |
| [12] | 刘利, 朱思齐, 孙梦颖, 何敬东.PARP抑制剂在小细胞肺癌靶向治疗中的进展[J]. 国际肿瘤学杂志, 2023, 50(6): 368-372. |
| [13] | 吕璐, 孙鹏飞.肠道菌群与宫颈癌[J]. 国际肿瘤学杂志, 2023, 50(6): 373-376. |
| [14] | 崔腾璐, 孙鹏飞.鼻咽低级别乳头状腺癌综合治疗1例并文献复习[J]. 国际肿瘤学杂志, 2023, 50(6): 382-384. |
| [15] | 凡梦思, 陆雅萍, 闫莉.子宫内膜癌前哨淋巴结假阴性患者的临床病理特征分析[J]. 国际肿瘤学杂志, 2023, 50(5): 274-279. |
| 阅读次数 | ||||||
| 全文 |
|
|||||
| 摘要 |
|
|||||
