


国际肿瘤学杂志››2023,Vol. 50››Issue (1): 62-64.doi:10.3760/cma.j.cn371439-20220930-00013
• 病例报道 •上一篇
收稿日期:2022-09-30修回日期:2022-11-25出版日期:2023-01-08发布日期:2023-03-16通讯作者:周福祥 E-mail:happyzhoufx@sina.com
Received:2022-09-30Revised:2022-11-25Online:2023-01-08Published:2023-03-16摘要:
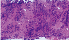
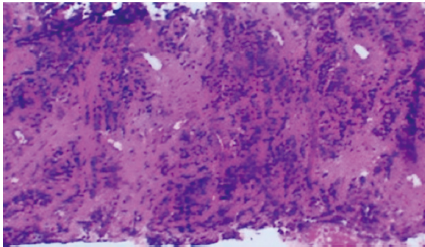
尤文肉瘤/原始神经外胚层瘤是一种神经外胚层分化的小圆细胞恶性肿瘤。现报道1例肺原发尤文肉瘤/原始神经外胚层瘤患者的诊疗情况,复习相关文献并进行讨论,以提高对该类疾病的认识。
张万芳, 王尤, 苏晶, 陈刚, 周福祥. 肺原发尤文肉瘤/原始神经外胚层瘤1例[J]. 国际肿瘤学杂志, 2023, 50(1): 62-64.
| [1] | Abboud A, Masrouha K, Saliba M, et al. Extraskeletal ewing sarcoma: diagnosis, management and prognosis[J]. Oncol Lett, 2021, 21(5): 354. DOI: 10.3892/ol.2021.12615. doi:10.3892/ol.2021.12615pmid:33747211 |
| [2] | Riggi N, Suvà ML, Stamenkovic I. Ewing's sarcoma[J]. N Engl J Med, 2021, 384(2): 154-164. DOI: 10.1056/NEJMra2028910. doi:10.1056/NEJMra2028910 |
| [3] | Fan YH, Ma HX, Guo SP, et al. Application of anlotinib combined with neoadjuvant chemotherapy in primary EWS/PNET of lung: a case report[J]. Front Oncol, 2022, 12: 822469. DOI: 10.3389/fonc.2022.822469. doi:10.3389/fonc.2022.822469 |
| [4] | 朱玉春, 周伟, 张阳, 等. 肺骨外尤文肉瘤/原始神经外胚层肿瘤一例[J]. 临床放射学杂志, 2019, 38(6): 1151-1152. DOI: 10.13437/j.cnki.jcr.2019.06.052. doi:10.13437/j.cnki.jcr.2019.06.052 |
| [5] | 马文婷, 黎金葵, 雷军强. 1例胃原始神经外胚层肿瘤化疗前后CT影像学变化[J]. 国际肿瘤学杂志, 2017, 44(4): 319-320. DOI: 10.3760/cma.j.issn.1673-422X.2017.04.022. doi:10.3760/cma.j.issn.1673-422X.2017.04.022 |
| [6] | Zöllner SK, Amatruda JF, Bauer S, et al. Ewing sarcoma-diagnosis, treatment, clinical challenges and future perspectives[J]. J Clin Med, 2021, 10(8): 1685. DOI: 10.3390/jcm10081685. doi:10.3390/jcm10081685 |
| [7] | 岳振营, 宋殿行, 王慧, 等. 肺原发性尤文肉瘤/原始神经外胚层肿瘤1例报道[J]. 诊断病理学杂志, 2017, 24(1): 52-54. DOI: 10.3969/j.issn.1007-8096.2017.01.014. doi:10.3969/j.issn.1007-8096.2017.01.014 |
| [8] | 韩秀鑫, 张超, 陶芳, 等. 尤文肉瘤的治疗研究进展[J]. 重庆医学, 2019, 48(7): 1191-1195. DOI: 10.3969/j.issn.1671-8348.2019.07.027. doi:10.3969/j.issn.1671-8348.2019.07.027 |
| [9] | 郭卫, 王臻, 郭征, 等. 尤文肉瘤肿瘤家族(ESFT)临床循证诊疗指南[J]. 中华骨与关节外科杂志, 2018, 11(4): 260-275. DOI: 10.3969/j.issn.2095-9958.2018.04.003. doi:10.3969/j.issn.2095-9958.2018.04.003 |
| [10] | Subbiah V, Lamhamedi-Cherradi SE, Cuglievan B, et al. Multimodality treatment of desmoplastic small round cell tumor: chemotherapy and complete cytoreductive surgery improve patient survival[J]. Clin Cancer Res, 2018, 24(19): 4865-4873. DOI: 10.1158/1078-0432.CCR-18-0202. doi:10.1158/1078-0432.CCR-18-0202pmid:29871905 |
| [11] | Whelan J, Le Deley MC, Dirksen U, et al. High-dose chemotherapy and blood autologous stem-cell rescue compared with standard chemotherapy in localized high-risk Ewing sarcoma: results of Euro-E.W.I.N.G.99 and ewing-2008[J]. J Clin Oncol, 2018, 36(31): JCO2018782516. DOI: 10.1200/JCO.2018.78.2516. doi:10.1200/JCO.2018.78.2516 |
| [12] | Chang WI, Lin C, Liguori N, et al. Molecular targets for novel therapeutics in pediatric fusion-positive non-CNS solid tumors[J]. Front Pharmacol, 2021, 12: 747895. DOI: 10.3389/fphar.2021.747895. doi:10.3389/fphar.2021.747895 |
| [13] | Munster P, Mita M, Mahipal A, et al. First-in-human phase Ⅰ study of a dual mTOR kinase and DNA-PK inhibitor (CC-115) in advanced malignancy[J]. Cancer Manag Res, 2019, 11: 10463-10476. DOI: 10.2147/CMAR.S208720. doi:10.2147/CMAR.S208720pmid:31853198 |
| [14] | Anderson PM, Bielack SS, Gorlick RG, et al. A phase Ⅱ study of clinical activity of SCH 717454 (robatumumab) in patients with relapsed osteosarcoma and Ewing sarcoma[J]. Pediatr Blood Cancer, 2016, 63(10): 1761-1770. DOI: 10.1002/pbc.26087. doi:10.1002/pbc.26087pmid:27362300 |
| [15] | Subbiah V, Braña I, Longhi A, et al. Antitumor activity of lurbinectedin, a selective inhibitor of oncogene transcription, in patients with relapsed Ewing sarcoma: results of a basket phase Ⅱ study[J]. Clin Cancer Res, 2022, 28(13): 2762-2770. DOI: 10.1158/1078-0432.CCR-22-0696. doi:10.1158/1078-0432.CCR-22-0696pmid:35486638 |
| [16] | Choy E, Butrynski JE, Harmon DC, et al. Phase Ⅱ study of olaparib in patients with refractory Ewing sarcoma following failure of standard chemotherapy[J]. BMC Cancer, 2014, 14: 813. DOI: 10.1186/1471-2407-14-813. doi:10.1186/1471-2407-14-813 |
| [17] | Heisey DAR, Lochmann TL, Floros KV, et al. The Ewing family of tumors relies on BCL-2 and BCL-XL to escape PARP inhibitor toxicity[J]. Clin Cancer Res, 2019, 25(5): 1664-1675. DOI: 10.1158/1078-0432.CCR-18-0277. doi:10.1158/1078-0432.CCR-18-0277 |
| [18] | Italiano A, Mir O, Mathoulin-Pelissier S, et al. Cabozantinib in patients with advanced Ewing sarcoma or osteosarcoma (CABONE): a multicentre, single-arm, phase 2 trial[J]. Lancet Oncol, 2020, 21(3): 446-455. DOI: 10.1016/S1470-2045(19)30825-3. doi:10.1016/S1470-2045(19)30825-3 |
| [19] | Tawbi HA, Burgess M, Bolejack V, et al. Pembrolizumab in advanced soft-tissue sarcoma and bone sarcoma (SARC028): a multicentre, two-cohort, single-arm, open-label, phase 2 trial[J]. Lancet Oncol, 2017, 18(11): 1493-1501. DOI: 10.1016/S1470-2045(17)30624-1. doi:S1470-2045(17)30624-1pmid:28988646 |
| [20] | Guven DC, Kilickap S, Yildirim HC, et al. Chemoimmunotherapy for the salvage treatment of Ewing sarcoma: a case report[J]. J Oncol Pharm Pract, 2021, 27(5): 1281-1283. DOI: 10.1177/1078155220965677. doi:10.1177/1078155220965677pmid:33070764 |
| [1] | 刘娜, 寇介丽, 杨枫, 刘桃桃, 李丹萍, 韩君蕊, 杨立洲.血清miR-106b-5p、miR-760联合低剂量螺旋CT诊断早期肺癌的临床价值[J]. 国际肿瘤学杂志, 2024, 51(6): 321-325. |
| [2] | 王丽, 刘志华, 杨伟洪, 蒋凤莲, 李全泳, 宋浩杰, 鞠文东.ROS1突变肺腺鳞癌合并脑梗死为主要表现的Trousseau综合征1例[J]. 国际肿瘤学杂志, 2024, 51(6): 382-384. |
| [3] | 贺嘉慧, 胡钦勇.基于GBD数据的中国和美国肺癌发病和死亡趋势及危险因素对比分析[J]. 国际肿瘤学杂志, 2024, 51(1): 29-36. |
| [4] | 李雄安, 颜艳艳.丙戊酸镁用于治疗继发癫痫的晚期肺癌脑转移患者1例报道[J]. 国际肿瘤学杂志, 2023, 50(3): 191-192. |
| [5] | 左小平, 刘晓川, 吴西强, 李周, 夏天, 刘国凤.老年早期肺癌患者经胸腔镜肺切除术后心律失常发生的危险因素及预测模型构建[J]. 国际肿瘤学杂志, 2023, 50(12): 711-716. |
| [6] | 陈郁, 许华, 刘海, 陈士新.基于CT影像学特征的恶性肺纯磨玻璃结节患者病理分型预测模型构建[J]. 国际肿瘤学杂志, 2023, 50(11): 655-660. |
| [7] | 杨莎, 杨晓华, 王苏华, 薛晓燕, 徐俊.老年肺癌胸腔镜手术后下肢深静脉血栓的危险因素分析及预测模型的建立和验证[J]. 国际肿瘤学杂志, 2022, 49(9): 532-536. |
| [8] | 王津, 张耀圣, 孙婷婷, 王丹, 胡乃东.以前胸壁聚集性多发蕈状肿物为表现的肺腺鳞状细胞癌皮肤转移1例[J]. 国际肿瘤学杂志, 2022, 49(9): 575-576. |
| [9] | 陈煌婧, 朱鹏飞, 张晴, 陈桂芳, 杨春林, 何英.超声造影和CT引导下经皮穿刺活检在周围型肺肿块诊断中临床价值的比较[J]. 国际肿瘤学杂志, 2022, 49(8): 459-463. |
| [10] | 蔡刚祥, 李境, 许斌.肺癌新辅助免疫治疗研究进展[J]. 国际肿瘤学杂志, 2022, 49(6): 366-370. |
| [11] | 韩丛丛, 付帅, 谢超, 张建军, 张秋景, 祝情情, 刘杰.吉非替尼、培美曲塞和贝伐珠单抗一线治疗EGFR突变晚期肺腺癌的有效性和安全性[J]. 国际肿瘤学杂志, 2022, 49(6): 376-379. |
| [12] | 王永洪, 何弢, 李星, 罗启余, 王乔羽.信迪利单抗致晚期鳞状细胞肺癌患者致死性中毒性表皮坏死松解症1例[J]. 国际肿瘤学杂志, 2022, 49(6): 380-382. |
| [13] | 张静娴, 易丹, 李小江.抗体偶联药物在非小细胞肺癌中的应用[J]. 国际肿瘤学杂志, 2022, 49(5): 296-301. |
| [14] | 高敏, 冯静, 王丽, 钟海, 文昱婷, 万兵, 张秀伟.微生物群与肺癌的早期诊断及辅助治疗[J]. 国际肿瘤学杂志, 2022, 49(4): 247-251. |
| [15] | 高世乐, 芦东徽, 刘美琴, 徐兴军, 马欢, 张羽.阿帕替尼联合化疗在晚期非小细胞肺癌患者中的临床疗效和最佳剂量探讨[J]. 国际肿瘤学杂志, 2022, 49(3): 140-145. |
| 阅读次数 | ||||||
| 全文 |
|
|||||
| 摘要 |
|
|||||
