国际肿瘤学杂志››2024,Vol. 51››Issue (10): 667-669.doi:10.3760/cma.j.cn371439-20240222-00112

• 病例报道 •上一篇下一篇

软腭及食管多原发鳞状细胞癌鼻尖皮肤转移1例

张悦宁1,2, 刘倩1,2, 李惠娴2,3, 洪慧2,4, 张金岭2,5()

  1. 1山东第二医科大学临床医学院,潍坊 261000
    2临沂市人民医院肿瘤科,临沂 276000
    3滨州医学院第二临床医学院,滨州 256600
    4锦州医科大学临床医学院,锦州 121000
    5临沂市人民医院脑肿瘤功能影像工程技术研究中心,临沂 276000
  • 收稿日期:2024-02-22修回日期:2024-06-18出版日期:2024-10-08发布日期:2024-12-04
  • 通讯作者:张金岭 E-mail:jinlingzhang931@163.com
  • 基金资助:
    山东省自然科学基金(ZR2020MH292)

    • Received:2024-02-22Revised:2024-06-18Online:2024-10-08Published:2024-12-04

    摘要:

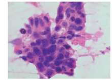
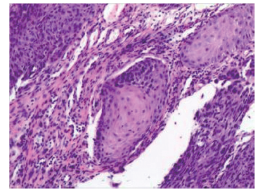
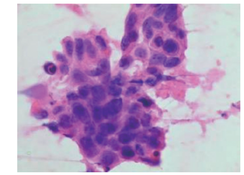
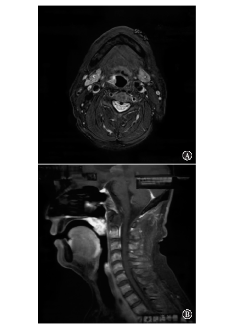
    多原发鳞状细胞癌发生鼻尖皮肤转移极为罕见,文献报道较少,且鳞状细胞癌病理表现相似,较难诊断。现回顾性分析1例软腭及食管多发鳞状细胞癌出现远处鼻尖皮肤转移患者的临床资料,结合相关文献复习,以提高对本类疾病的认识。

    关键词:食管肿瘤,腭肿瘤,癌,鳞状细胞,肿瘤转移,诊断,肿瘤治疗方案

    Baidu
    map