


国际肿瘤学杂志››2024,Vol. 51››Issue (8): 542-544.doi:10.3760/cma.j.cn371439-20240329-00091
• 病例报道 •上一篇
收稿日期:2024-03-29修回日期:2024-05-12出版日期:2024-08-08发布日期:2024-09-24通讯作者:石会勇,Email:15053133075@163.com
Received:2024-03-29Revised:2024-05-12Online:2024-08-08Published:2024-09-24摘要:
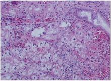
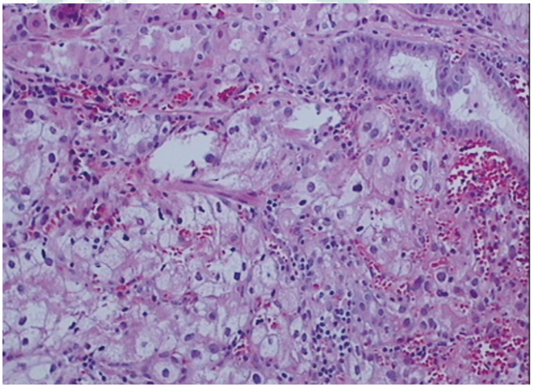
肾透明细胞癌是成人肾脏最常见的恶性肿瘤。常见转移部位为肺脏、肝脏、骨骼、肾上腺、对侧肾脏等,转移至胃部相对罕见,准确的病理诊断和鉴别诊断对于此病的治疗及预后非常重要。现报道右肾透明细胞癌切除术后,以胃部为首发转移并相继出现肺脏、颅骨、肝脏及脑多发性转移且长期生存的患者1例。
夏振, 石会勇. 肾透明细胞癌术后以胃部为首发转移1例并文献复习[J]. 国际肿瘤学杂志, 2024, 51(8): 542-544.
| [1] | Anon.Cancer facts figures 2019[DB/OL]. https://www.cancer.org/research/cancer-facts-statistics/all-cancer-facts-figures/cancer-facts-figures-2019.html. |
| [2] | Hemmerich A, Shaar M, Burbridge R, et al. Metastatic renal cell carcinoma as solitary subcentimeter polypoid gastric mucosal lesions: clinicopathologic analysis of five cases[J].Gastroenterology Res,2018,11(1): 25-30. DOI:10.14740/gr952w. |
| [3] | Park HJ, Kim HJ, Park SH, et al. Gastrointestinal involvement of recurrent renal cell carcinoma: CT findings and clinicopathologic features[J].Korean J Radiol,2017,18(3): 452-460. DOI:10.3348/kjr.2017.18.3.452. pmid:28458597 |
| [4] | Arakawa N, Irisawa A, Shibukawa G, et al. Simultaneous gastric metastasis from renal cell carcinoma: a case report and literature review[J].Clin Med Insights Case Rep,2018,11: 117954761877 5095. DOI:10.1177/1179547618775095. |
| [5] | Abu Ghanimeh M, Qasrawi A, Abughanimeh O, et al. Gastric metastasis from renal cell carcinoma, clear cell type, presenting with gastrointestinal bleeding[J].Case Rep Gastrointest Med,2017,2017: 5879374. DOI:10.1155/2017/5879374. |
| [6] | 熊波波, 张劲松, 李宁, 等. 晚期肾癌的分子靶向治疗[J].国际肿瘤学杂志,2019,46(12): 705-710. DOI:10.3760/cma.j.issn.1673-422X.2019.12.001. |
| [7] | Dutcher JP, Flippot R, Fallah J, et al. On the shoulders of giants: the evolution of renal cell carcinoma treatment-cytokines, targeted therapy, and immunotherapy[J].Am Soc Clin Oncol Educ Book,2020,40: 1-18. DOI:10.1200/EDBK_280817. pmid:32243201 |
| [8] | WHO Classification of Tumours Editorial Boardeds.Publication of the WHO classification of tumours, 5th edition, volume 3: soft tissue and bone tumours[M]. Lyon: IARC,2020. |
| [9] | 丛文铭, 郑建明, 李增山, 等.临床病例诊断与鉴别诊断:肝、胆、胰疾病[M]. 北京: 人民卫生出版社,2019. |
| [10] | Sakhuja P, Mishra PK, Rajesh R, et al. Clear cell hepatocellular carcinoma: back to the basics for diagnosis[J].J Cancer Res Ther,2015,11(3): 656. DOI:10.4103/0973-1482.136041. |
| [11] | Askan G, Kombak FE, Seven IE, et al. Clear cell sarcoma-like tumor of the gastrointestinal tract[J].J Gastrointest Cancer,2019,50(3): 651-656. DOI:10.1007/s12029-018-0069-4. pmid:29623567 |
| [12] | Pollheimer MJ, Hinterleitner TA, Pollheimer VS, et al. Renal cell carcinoma metastatic to the stomach: single-centre experience and literature review[J].BJU Int,2008,102(3): 315-319. DOI:10.1111/j.1464-410X.2008.07617.x. |
| [13] | Yamamoto D, Hamada Y, Okazaki S, et al. Metastatic gastric tumor from renal cell carcinoma[J].Gastric Cancer,2009,12(3): 170-173. DOI:10.1007/s10120-009-0519-6. pmid:19890698 |
| [14] | Sakurai K, Muguruma K, Yamazoe S, et al. Gastric metastasis from renal cell carcinoma with gastrointestinal bleeding: a case report and review of the literature[J].Int Surg,2014,99(1): 86-90. DOI:10.9738/INTSURG-D-13-00115.1. pmid:24444276 |
| [1] | 倪国英, 黄骞, 梁洪享, 杨志勇, 丁颖丽.晚期非小细胞肺癌患者血清miR-499、miR-362水平变化及与预后的关系分析[J]. 国际肿瘤学杂志, 2024, 51(8): 487-492. |
| [2] | 吕俊, 熊昊, 郑燕秋, 董礼.非小细胞肺癌患者放疗后肺部侵袭性真菌病发生危险因素及预测模型构建[J]. 国际肿瘤学杂志, 2024, 51(8): 493-497. |
| [3] | 王燕.经阴道超声弹性成像联合血清miR-144-3p、CMTM6在宫颈癌前病变和宫颈癌中的鉴别诊断价值[J]. 国际肿瘤学杂志, 2024, 51(8): 504-509. |
| [4] | 孟珂心, 陆海军.口腔菌群:口腔鳞状细胞癌诊断和预后的生物标志物[J]. 国际肿瘤学杂志, 2024, 51(8): 515-519. |
| [5] | 莫慧敏, 蔡宇森, 张增瑞, 朱文钿.联合应用免疫检查点抑制剂在肝细胞癌合并门静脉癌栓治疗中的研究进展[J]. 国际肿瘤学杂志, 2024, 51(8): 520-525. |
| [6] | 中华人民共和国国家卫生健康委员会医政司.原发性肝癌诊疗指南(2024年版)[J]. 国际肿瘤学杂志, 2024, 51(7): 385-410. |
| [7] | Saber Amin, Chi Lin.质子束放疗在中枢神经系统肿瘤患者中的应用趋势:美国国家癌症数据库分析(2004—2021年)[J]. 国际肿瘤学杂志, 2024, 51(7): 424-431. |
| [8] | 赵彪, 蒲琴, 袁美芳, 马立双, 李瀚, 杨毅, 孙朝细.基于内缘切线野的调强放疗与容积弧形调强放疗在左侧乳腺癌保乳术后放疗中的剂量学研究[J]. 国际肿瘤学杂志, 2024, 51(7): 441-447. |
| [9] | 刘昊, 靳二梅, 丁红娟, 金磊.非小细胞肺癌患者血清HMGB2和HMGB3水平及临床意义[J]. 国际肿瘤学杂志, 2024, 51(7): 448-452. |
| [10] | 余宏鑫, 白燕, 巩媛, 王健庄, 范志刚.接受预防性脑部放疗局限期SCLC患者缓解后脑转移发生危险因素及预测模型构建[J]. 国际肿瘤学杂志, 2024, 51(7): 453-457. |
| [11] | 韩艺, 张同梅, 齐菲, 张泳.肺大细胞神经内分泌癌临床分子诊断和治疗研究进展[J]. 国际肿瘤学杂志, 2024, 51(7): 468-473. |
| [12] | 钱晓涛, 石子宜, 胡格, 吴晓维.Ⅲ~ⅣA期食管鳞状细胞癌放化疗后行巩固化疗的疗效:一项真实世界临床研究[J]. 国际肿瘤学杂志, 2024, 51(6): 326-331. |
| [13] | 郭泽浩, 张俊旺.PFDN及其亚基在肿瘤发生发展中的作用[J]. 国际肿瘤学杂志, 2024, 51(6): 350-353. |
| [14] | 王丽, 刘志华, 杨伟洪, 蒋凤莲, 李全泳, 宋浩杰, 鞠文东.ROS1突变肺腺鳞癌合并脑梗死为主要表现的Trousseau综合征1例[J]. 国际肿瘤学杂志, 2024, 51(6): 382-384. |
| [15] | 范志鹏, 余静, 胡静, 廖正凯, 徐禹, 欧阳雯, 谢丛华.炎症标志物的变化趋势对一线接受免疫联合化疗的晚期非小细胞肺癌患者预后的预测价值[J]. 国际肿瘤学杂志, 2024, 51(5): 257-266. |
| 阅读次数 | ||||||
| 全文 |
|
|||||
| 摘要 |
|
|||||
