国际肿瘤学杂志 ›› 2025, Vol. 52 ›› Issue (7): 434-440.doi: 10.3760/cma.j.cn371439-20250217-00076

• 质子放疗剂量学特点 • 上一篇    下一篇

全中枢神经系统肿瘤1例质子放疗剂量学特点分析

吴仕章1,2, 胡漫3, 戴天缘1,2, 李成强1,2, 陶城1,2, 段敬豪1,2, 陈进琥1,2, 白曈1,2, 孔甜4, 朱健1,2()   

  1. 1山东省肿瘤防治研究院(山东省肿瘤医院)放射物理技术科,bobapp1中国有限公司(山东省医学科学院),济南 250117
    2山东省医药卫生儿童肿瘤精确放疗重点实验室(山东省肿瘤医院),济南 250117
    3山东省肿瘤防治研究院(山东省肿瘤医院)头颈放疗一病区,bobapp1中国有限公司(山东省医学科学院),济南 250117
    4中国铁路济南局集团有限公司疾病预防控制所,济南 250031
  • 收稿日期:2025-02-17 修回日期:2025-03-27 出版日期:2025-07-08 发布日期:2025-07-23
  • 通讯作者: 朱健 E-mail:zhujian@sdfmu.edu.cn
  • 基金资助:
    国家科技重大专项(2024ZD0519901);国家自然科学基金(12105160);国家自然科学基金(82172072);山东省重点研发计划(2024CXPT084);山东省自然科学基金(ZR2021QA099);山东省自然科学基金(ZR2022QH188);山东省高等学校青年创新团队发展计划(2024KJJ013);山东省青年科技人才托举工程(SDAST2024QTB034)

Analysis of dosimetric characteristics of proton radiotherapy in 1 case of whole central nervous system tumor

Wu Shizhang1,2, Hu Man3, Dai Tianyuan1,2, Li Chengqiang1,2, Tao Cheng1,2, Duan Jinghao1,2, Chen Jinhu1,2, Bai Tong1,2, Kong Tian4, Zhu Jian1,2()   

  1. 1Department of Radiation Oncology Physics,Shandong Cancer Hospital and Institute,Shandong First Medical University and Shandong Academy of Medical Sciences,Jinan 250117,China
    2Shandong Provincial Key Medical and Health Laboratory of Pediatric Cancer Precision Radiotherapy (Shandong Cancer Hospital),Jinan 250117,China
    3Department of Head and Neck Radiotherapy,Unit 1,Shandong Cancer Hospital and Institute,Shandong First Medical University and Shandong Academy of Medical Sciences,Jinan 250117,China
    4Disease Control and Prevention Institute of China Railway Jinan Bureau Group Co.,Ltd.,Jinan 250031,China
  • Received:2025-02-17 Revised:2025-03-27 Online:2025-07-08 Published:2025-07-23
  • Contact: Zhu Jian E-mail:zhujian@sdfmu.edu.cn
  • Supported by:
    National Science and Technology Major Project of China(2024ZD0519901);National Natural Science Foundation of China(12105160);National Natural Science Foundation of China(82172072);Key R&D Program of Shandong Province,China(2024CXPT084);Natural Science Foundation of Shandong Province of China(ZR2021QA099);Natural Science Foundation of Shandong Province of China(ZR2022QH188);Youth Innovation Team Development Plan of Shandong Universities(2024KJJ013);Shandong Provincial Young Science and Technology Talent Support Project(SDAST2024QTB034)

摘要:

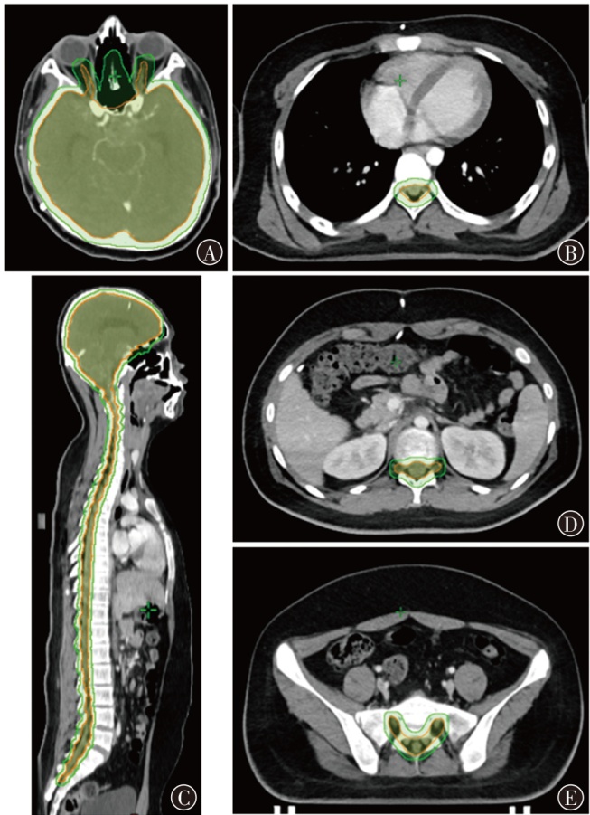
目的 探索质子调强放疗(IMPT)、光子固定野调强放疗(IMRT)以及光子螺旋断层放疗(TOMO)技术应用于儿童全中枢神经系统肿瘤照射的剂量学特点。方法 以1例山东省肿瘤防治研究院(山东省肿瘤医院)临床诊断为非典型畸胎样/横纹肌样瘤、脊膜转移、脑膜转移,行全脑全脊髓放疗(CSI)的14岁儿童患者靶区为例,根据靶区的临床处方和危及器官(OAR)的限值要求,分别设计IMPT、IMRT和TOMO计划。对各计划靶区的适形指数(CI)、均匀性指数(HI)和梯度指数(GI),以及正常组织的剂量体积指标进行评估,对比3类计划的剂量学特点。结果 IMPT计划的CI(0.71)、HI(0.05)和GI(3.13)均与IMRT计划(0.80、0.08、3.14)相当,TOMO计划的HI(0.03)、GI(2.54)较优,且均在临床接受范围内。IMPT计划中并行器官受照剂量低于IMRT和TOMO计划;IMPT计划中双肺V5为2.9%,IMRT为37.6%,TOMO为43.5%;IMPT计划的肝脏Dmean为0.01 Gy(RBE),IMRT计划为6.12 Gy,TOMO计划为6.39 Gy;IMPT计划中膀胱、直肠、股骨头均没有受量,而在IMRT和TOMO计划中均有低剂量辐射。对于毗邻靶区和包含在靶区内的串行器官,IMPT计划中脊髓和脑干的Dmax分别为39.89和39.88 Gy(RBE),IMRT计划分别为39.43 和38.59 Gy,TOMO计划分别为38.41和37.69 Gy。IMPT计划中低剂量区显著优于光子放疗计划,其中患者体内10%的处方剂量区域所占的绝对体积IMPT计划较IMRT计划减少了70.10%,较TOMO计划减少了76.96%;30%的处方剂量体积IMPT计划较IMRT计划减少了53.49%,较TOMO计划减少了62.51%;50%的处方剂量体积IMPT计划较IMRT计划减少了39.06%,较TOMO计划减少了42.23%。结论 在儿童CSI中,IMPT计划的低剂量区与并行OAR受照剂量显著少于IMRT和TOMO计划。3种计划的CI、HI和GI均能满足临床要求。对于毗邻靶区和包含在靶区内的串行器官,IMPT计划的Dmax可能比IMRT和TOMO计划剂量更高。

关键词: 中枢神经系统肿瘤, 放射疗法, 质子疗法, 放射治疗剂量

Abstract:

Objective To explore the dosimetric characteristics of intensity modulated proton therapy (IMPT),intensity modulated radiation therapy (IMRT) and tomotherapy (TOMO) techniques applied in the irradiation of pediatric whole central nervous system tumors. Methods Taking the target area of a 14-year-old pediatric patient clinically diagnosed with atypical teratoid/rhabdomyoid tumor,meningeal metastasis by Shandong Cancer Hospital and Institute,and undergoing craniospinal irradiation (CSI) as an example,IMPT,IMRT and TOMO plans were designed respectively based on the clinical prescription of the target area and the limit requirements of organs at risk (OARs). The conformal index (CI),homogeneity index (HI) and gradient index (GI) of each planning target volume,as well as the dose volume index of normal tissues,were evaluated to compare the dosimetric characteristics of the three types of plans. Results The CI (0.71),HI (0.05) and GI (3.13) of the IMPT plan were comparable to those of IMRT plan (0.80,0.08,3.14). The HI (0.03) and GI (2.54) of the TOMO plan were excellent,which were all within the clinically acceptable range. The irradiation dose to parallel organs in the IMPT plan was lower than that in the IMRT and TOMO plan. In the IMPT plan,V5 of lungs was 2.9%,IMRT plan was 37.6%,and TOMO plan was 43.5%. The Dmean of liver in the IMPT plan was 0.01 Gy(RBE),IMRT plan was 6.12 Gy,and TOMO plan was 6.39 Gy. In the IMPT plan,none of the bladder,rectum,and femoral head received the dose,while there was low-dose radiation in both IMRT and TOMO plan. For serial organs adjacent to and within the target area,the Dmax of spinal cord and brainstem in IMPT plan was 39.89 and 39.88 Gy(RBE),respectively; in IMRT plan,they were 39.43 and 38.59 Gy,respectively; and in TOMO plan,they were 38.41 and 37.69 Gy,respectively. The low-dose area in the IMPT plan was significantly better than the photon radiotherapy plans. Among them,the absolute volume IMPT plan occupied by 10% of the prescribed dose area in the patient's body was reduced by 70.10% compared with IMRT plan and 76.96% compared with TOMO plan; the 30% prescribed dose volume IMPT plan was reduced by 53.49% compared with IMRT plan and 62.51% compared with TOMO plan; the 50% prescribed dose volume IMPT plan was reduced by 39.06% compared with IMRT plan and 42.23% compared with TOMO plan. Conclusions The IMPT plan demonstrated significantly reduced low-dose exposure and lower doses to parallel OARs compared to both IMRT and TOMO plans in pediatric CSI. The CI,HI and GI of the three plans can all meet the clinical requirements. However,for serial organs adjacent to and within the target area,the Dmax of the IMPT plan may be higher than that of IMRT and TOMO plans.

Key words: Central nervous system neoplasms, Radiotherapy, Proton therapy, Radiotherapy dosage

Baidu
map