国际肿瘤学杂志››2025,Vol. 52››Issue (6): 343-352.doi:10.3760/cma.j.cn371439-20250312-00059

• 论著 •上一篇下一篇

二甲双胍通过调控ALKBH3的表达抑制食管鳞状细胞癌细胞生长、迁移和血管生成

刘山, 潘越(), 张倬, 刘冲, 李雪曼, 熊飞

  1. 武汉市第三医院胸外科,武汉 430074
  • 收稿日期:2025-03-12修回日期:2025-04-25出版日期:2025-06-08发布日期:2025-06-26
  • 通讯作者:潘越 E-mail:xzxtbz@163.com
  • 基金资助:
    武汉市医学bob综合体项目(WX23A32);武汉市中医药科研项目(WZ24Q18)

Inhibition of the growth, migration, and angiogenesis of esophageal squamous cell carcinoma by metformin by regulating ALKBH3 expression

Liu Shan, Pan Yue(), Zhang Zhuo, Liu Chong, Li Xueman, Xiong Fei

  1. Thoracic Surgery, Wuhan Third Hospital, Wuhan 430074, China
  • Received:2025-03-12Revised:2025-04-25Online:2025-06-08Published:2025-06-26
  • Contact:Pan Yue E-mail:xzxtbz@163.com
  • Supported by:
    Medical Science Research Project of Wuhan of China(WX23A32);Traditional Chinese Medicine Research Project of Wuhan of China(WZ24Q18)

摘要:

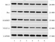
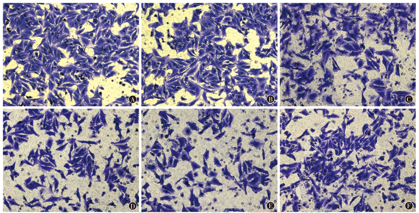
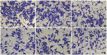
目的探究二甲双胍通过调控ALKBH3的表达对食管鳞状细胞癌细胞生长、迁移和血管生成的影响。方法使用不同浓度(0、0.5、1.0、2.0、4.0、8.0 mmol/L)的二甲双胍处理人食管癌TE-1细胞,将TE-1细胞分为空白对照组,二甲双胍低(0.5 mmol/L)、中(1.0 mmol/L)、高(2.0 mmol/L)浓度组,二甲双胍(2.0 mmol/L)+pcDNA-NC组,二甲双胍(2.0 mmol/L)+pcDNA-ALKBH3组。采用CCK-8法测定细胞活力,克隆形成实验检测细胞增殖能力,Transwell实验检测细胞迁移和侵袭能力,流式细胞术检测细胞凋亡能力,血管形成实验检测细胞管状结构形成情况。用4~6周龄雄性BALB/c无胸腺裸鼠构建异体移植瘤模型,采用随机数字表法分为模型对照组、二甲双胍组、二甲双胍+pcDNA-NC组和二甲双胍+pcDNA-ALKBH3组,每组6只,测定瘤体体积并称重,采用蛋白质印迹法检测凋亡相关蛋白Bcl-2、Bax及ALKBH3、血管内皮生长因子A(VEGF-A)蛋白表达水平,免疫组织化学检测CD31蛋白表达。结果使用0、0.5、1.0、2.0、4.0、8.0 mmol/L二甲双胍处理TE-1细胞48 h后,细胞活力分别为(100.00±0.00)%、(90.31±5.23)%、(81.25±8.65)%、(63.52±6.80)%、(54.64±5.35)%、(31.48±4.21)%,差异有统计学意义(F=98.11,P<0.001);0.5、1.0、2.0、4.0、8.0 mmol/L与0 mmol/L处理组间细胞活力差异均有统计学意义(均P<0.05)。二甲双胍对TE-1细胞的IC50为4.46 mmol/L。空白对照组,二甲双胍低、中、高浓度组,二甲双胍+pcDNA-NC组,二甲双胍+pcDNA-ALKBH3组TE-1细胞克隆形成数目分别为(153.15±13.55)、(134.80±11.62)、(116.24±10.43)、(93.17±8.85)、(89.39±8.46)、(110.26±7.21)个,差异有统计学意义(F=34.28,P<0.001);二甲双胍不同浓度组TE-1细胞克隆形成数随二甲双胍处理浓度增加明显减少(均P<0.05);与二甲双胍+ pcDNA-NC组相比,二甲双胍+pcDNA-ALKBH3组细胞克隆形成数增加(P<0.05)。6组TE-1细胞迁移数目分别为(152.13±13.40)、(133.85±10.72)、(115.28±8.64)、(91.16±7.89)、(85.39±7.23)、(116.85±8.36)个,细胞侵袭数目分别为(135.22±10.77)、(112.07±9.53)、(86.30±7.45)、(69.53±6.74)、(65.81±5.65)、(79.80±6.32)个,差异均有统计学意义(F=41.35,P<0.001;F=69.06,P<0.001);二甲双胍不同浓度组细胞迁移数目和侵袭数目均随二甲双胍处理浓度增加明显减少(均P<0.05);与二甲双胍+pcDNA-NC组相比,二甲双胍+ pcDNA-ALKBH3组细胞迁移数目和侵袭数目均显著增加(均P<0.05)。6组TE-1细胞凋亡率分别为(3.22±1.13)%、(13.82±1.90)%、(22.67±2.53)%、(29.18±3.24)%、(26.84±2.75)%、(16.36±1.63)%,差异有统计学意义(F=103.66,P<0.001);二甲双胍不同浓度组细胞凋亡率随二甲双胍处理浓度增加逐渐增高(均P<0.05);与二甲双胍+pcDNA-NC相比,二甲双胍+pcDNA-ALKBH3组细胞凋亡率较低(P<0.05)。空白对照组细胞管状结构完整,二甲双胍低、中、高浓度组细胞管状结构存在不同程度损坏,二甲双胍+ pcDNA-ALKBH3组细胞管状结构受损程度较低。6组TE-1细胞管状结构数目分别为(38.35±3.20)、(27.15±2.64)、(15.92±3.14)、(7.39±1.50)、(8.61±1.37)、(29.33±4.20)个,差异有统计学意义(F=113.92,P<0.001);与空白对照组相比,二甲双胍低、中、高浓度组细胞管状结构数目逐渐减少(均P<0.05);二甲双胍+ pcDNA-ALKBH3组细胞管状结构数目多于二甲双胍+pcDNA-NC组(P<0.05)。6组TE-1细胞Bcl-2、Bax、ALKBH3和VEGF-A蛋白表达水平差异均有统计学意义(F=56.36,P<0.001;F=57.26,P<0.001;F=159.30,P<0.001;F=132.89,P<0.001);与空白对照组相比,二甲双胍不同浓度组Bcl-2、ALKBH3和VEGF-A蛋白表达均较低,Bax蛋白表达水平均较高(均P<0.05);与二甲双胍+pcDNA-NC相比,二甲双胍+pcDNA-ALKBH3组Bcl-2、ALKBH3和VEGF-A蛋白表达水平均较高,Bax表达水平均较低(均P<0.05)。模型对照组、二甲双胍组、二甲双胍+pcDNA-NC组和二甲双胍+pcDNA-ALKBH3组裸鼠移植瘤肿瘤质量分别为(1.16±0.12)、(0.46±0.05)、(0.50±0.06)、(1.19±0.14)g,肿瘤体积分别为(878.36±108.93)、(413.59±50.23)、(439.78±51.39)、(793.75±96.98)mm3,差异均有统计学意义(F=96.61,P<0.001;F=51.90,P<0.001);二甲双胍组较模型对照组肿瘤质量降低、体积减小(均P<0.05);二甲双胍+pcDNA-ALKBH3组较二甲双胍组和二甲双胍+pcDNA-NC组肿瘤质量升高、体积增大(均P<0.05)。CD31主要分布在肿瘤细胞质内和细胞膜上。4组移植瘤组织CD31阳性率和VEGF-A蛋白表达水平差异均有统计学意义(F=7.12,P=0.002;F=48.81,P<0.001);二甲双胍组CD31阳性率和VEGF-A蛋白表达水平均低于模型对照组,二甲双胍+ pcDNA-ALKBH3组中CD31阳性率和VEGF-A蛋白表达水平高于二甲双胍组和二甲双胍+pcDNA-NC组(均P<0.05)。结论二甲双胍可通过降低ALKBH3的表达抑制食管鳞状细胞癌细胞增殖、迁移和肿瘤血管生成。

关键词:食道鳞癌,二甲双胍,AlkB酶类,细胞增殖,细胞运动

Abstract:

ObjectiveTo investigate the effects of metformin on esophageal squamous cell carcinoma cell growth, migration and angiogenesis by regulating the expression of ALKBH3.MethodsHuman esophageal cancer TE-1 cells were treated with different concentrations (0, 0.5, 1.0, 2.0, 4.0, 8.0 mmol/L) of metformin, and they were divided into a blank control group, low- (0.5 mmol/L), medium- (1.0 mmol/L), and high- (2.0 mmol/L) concentration metformin groups, a metformin (2.0 mmol/L)+pcDNA-NC group, and a metformin (2.0 mmol/L)+pcDNA-ALKBH3 group. The cell viability was determined by the CCK-8 method. The cell proliferation ability was detected by the clone formation assay. The cell migration and invasion abilities were examined by the Transwell assay. The cell apoptosis was detected by flow cytometry. The tube formation ability of cells was detected by the angiogenesis assay. A xenograft tumor model was constructed using 4- to 6-week-old male BALB/c thymus-less nude mice, which were divided into a model control group, a metformin group, a metformin+pcDNA-NC group, and a metformin+pcDNA-ALKBH3 group using a random number table method, and with six in each group. And the volume and weight of the tumor were measured. The protein expression levels of apoptosis-related proteins Bcl-2, Bax, ALKBH3 and vascular endothelial growth factor A (VEGF-A) were detected by Western blotting. The expression of CD31 protein was detected by immunohistochemistry.ResultsAfter treating TE-1 cells with 0, 0.5, 1.0, 2.0, 4.0, and 8.0 mmol/L metformin for 48 hours, the cell viability was (100.00±0.00)%, (90.31±5.23)%, (81.25±8.65)%, (63.52±6.80)%, (54.64±5.35)%, and (31.48±4.21)%, respectively, with a statistically significant difference (F=98.11,P<0.001). There were statistically significant differences in cell viability between 0.5, 1.0, 2.0, 4.0, 8.0 mmol/L and 0 mmol/L (allP<0.05). The IC50of metformin for TE-1 cells was 4.46 mmol/L. The numbers of colony formations of TE-1 cells in the blank control group, low-, medium-, and high-concentration metformin groups, metformin+pcDNA-NC group, and metformin+pcDNA-ALKBH3 group were 153.15±13.55, 134.80±11.62, 116.24±10.43, 93.17±8.85, 89.39±8.46, 110.26±7.21, respectively, with a statistically significant difference (F=34.28,P<0.001); the numbers of colony formations of TE-1 cells in the metformin groups at different concentrations decreased significantly with the increase in metformin concentration (bothP<0.05); compared with the metformin+pcDNA-NC group, the number of colony formations of cells in the metformin+pcDNA-ALKBH3 group increased (P<0.05). The numbers of migration of TE-1 cells of 6 groups were 152.13±13.40, 133.85±10.72, 115.28±8.64, 91.16±7.89, 85.39±7.23, 116.85±8.36, the numbers of invasion were 135.22±10.77, 112.07±9.53, 86.30±7.45, 69.53±6.74, 65.81±5.65, 79.80±6.32, respectively, with statistically significant differences (F=41.35,P<0.001;F=69.06,P<0.001); the numbers of migrated and invaded cells in the metformin groups at different concentrations decreased significantly with the increase in metformin concentration (allP<0.05); compared with the metformin+pcDNA-NC group, the numbers of migrated and invaded cells in the metformin+pcDNA-ALKBH3 group increased significantly (bothP<0.05). The apoptosis rates of TE-1 cells in 6 groups were (3.22±1.13)%, (13.82±1.90)%, (22.67±2.53)%, (29.18±3.24)%, (26.84±2.75)%, and (16.36±1.63)%, respectively, with a statistically significant difference (F=103.66,P<0.001); the apoptosis rates of cells in the metformin groups at different concentrations gradually increased with the increase in metformin concentration (bothP<0.05); compared with the metformin+pcDNA-NC group, the apoptosis rate of cells in the metformin+pcDNA-ALKBH3 group was relatively lower (P<0.05). The tubular structure of cells in blank control group was intact, and there were different degrees of damage to the tubular structure of cells in the low-, medium-, high- concentration metformin groups, the degree of damage to the tubular structure of cells in the metformin+pcDNA-ALKBH3 group was reduced. The numbers of cellular tubular structures of TE-1 cells in the 6 groups were 38.35±3.20, 27.15±2.64, 15.92±3.14, 7.39±1.50, 8.61±1.37, and 29.33±4.20, respectively, with a statistically significant difference (F=113.92,P<0.001); the number of cellular tubular structures in the low-, medium-, and high- concentration metformin groups gradually decreased (bothP<0.05); the number of cellular tubular structures in the metformin+pcDNA-ALKBH3 group was more than that in the metformin+pcDNA-NC group (P<0.05). There were statistically significant differences in the protein expressions of Bcl-2, Bax, ALKBH3, and VEGF-A in TE-1 cells among 6 groups (F=56.36,P<0.001;F=57.26,P<0.001;F=159.30,P<0.001;F=132.89,P<0.001); compared with the blank control group, the protein expressions of Bcl-2, ALKBH3, and VEGF-A in the metformin groups at different concentrations decreased, while the protein expression of Bax increased (allP<0.05); compared with the metformin+pcDNA-NC group, the protein expressions of Bcl-2, ALKBH3, and VEGF-A in the metformin+pcDNA-ALKBH3 group increased, and the expression level of Bax decreased (allP<0.05). The weights of tumors in the model control group, metformin group, metformin+pcDNA-NC group, and metformin+pcDNA-ALKBH3 group were (1.16±0.12), (0.46±0.05), (0.50±0.06), (1.19±0.14) g, the volumes of tumors were (878.36±108.93), (413.59±50.23), (439.78±51.39), (793.75±96.98) mm3, with statistically significant differences (F=96.61,P<0.001;F=51.90,P<0.001); the weight of tumors were lower and the volume of tumors were smaller in the metformin group than those in the model control group (bothP<0.05), the weight of tumors were higher and the volume of tumors were bigger in the metformin+pcDNA-ALKBH3 group than those in the metformin group and the metformin+pcDNA-NC group (allP<0.05). CD31 was mainly distributed in the cytoplasm and cell membrane of tumor cells. There were statistically significant differences in the positive rates of CD31 and the protein expression levels of VEGF-A in transplanted tumor tissues among 4 groups (F=7.12,P=0.002;F=48.81,P<0.001); the positive rate of CD31 and the protein expression level of VEGF-A in the metformin group were lower than those in the model control group; the positive rate of CD31 and the protein expression level of VEGF-A in the metformin+pcDNA-ALKBH3 group were higher than those in the metformin group and the metformin+pcDNA-NC group (allP<0.05).ConclusionsMetformin may inhibit the proliferation, migration, and tumor angiogenesis of esophageal squamous cell carcinoma by reducing ALKBH3 expression.

Key words:Esophageal squamous cell carcinoma,Metformin,AlkB enzymes,Cell proliferation,Cell movement

Baidu
map