


国际肿瘤学杂志››2020,Vol. 47››Issue (8): 510-512.doi:10.3760/cma.j.cn371439-20191111-00068
• 病例报道 •上一篇
收稿日期:2019-11-11修回日期:2019-12-08出版日期:2020-08-08发布日期:2020-10-22通讯作者:殷海涛 E-mail:baxia1108@126.com
Received:2019-11-11Revised:2019-12-08Online:2020-08-08Published:2020-10-22摘要:
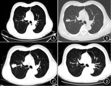
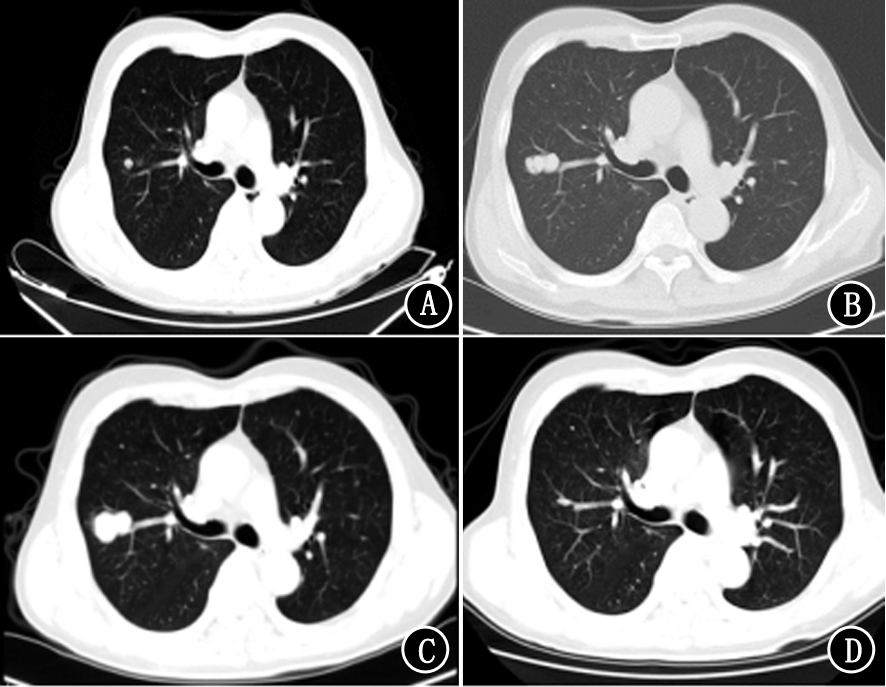
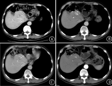
大多数肝癌患者发病时已为中晚期,且缺乏有效治疗手段,预后极差。本研究报道采用甲磺酸阿帕替尼联合卡瑞利珠单抗二线以上治疗1例原发性肝癌伴肺转移病例,取得了显著疗效,为晚期原发性肝癌的治疗提供了新的方法。
张伟, 殷海涛, 周冲, 李向阳, 郭林. 甲磺酸阿帕替尼联合卡瑞利珠单抗治疗原发性肝癌伴肺转移一例[J]. 国际肿瘤学杂志, 2020, 47(8): 510-512.
| [1] | Jain RK. Antiangiogenesis strategies revisted: from starving tumors to alleviating hypoxia[J]. Cancer Cell, 2014,26(5):605-622. DOI: 10.1016/j.ccell.2014.10.006. doi:10.1016/j.ccell.2014.10.006 |
| [2] | Nie J, Wang C, Liu Y, et al. Addition of low-dose decitabine to anti-PD-1 antibody camrelizumab in relapsed/refractory classical Hodgkin lymphoma[J]. J Clin Oncol, 2019,37(17):1479-1489. DOI: 10.1200/JCO.18.02151. doi:10.1200/JCO.18.02151pmid:31039052 |
| [3] | Song Y, Wu J, Chen X, et al. A single-arm multicenter, phase Ⅱ study of camrelizumab in relapsed or refractory classical Hodgkin lymphoma[J]. Clin Cancer Res, 2019,25(24):7363-7369. DOI: 10.1158/1078-0432.CCR-19-1680. doi:10.1158/1078-0432.CCR-19-1680pmid:31420358 |
| [4] | Xu J, Zhang Y, Jia R, et al. Anti-PD-1 antibody SHR-1210 combined with apatinib for advanced hepatocellular carcinoma, gastric, or esophago-gastric iunction cancer: an open-label, dose escalation and expansion study[J]. Clin Cancer Res, 2019,25(2):515-523. DOI: 10.1158/1078-0432.CCR-18-2484. doi:10.1158/1078-0432.CCR-18-2484pmid:30348638 |
| [5] | Huang J, Mo H, Zhang W, et al. Promising efficacy of SHR-1210, a noval anti-programmed cell death 1 antibody, in patients with advanced gastric and gastroesophageal junction cancer in China[J]. Cancer, 2019,125(5):742-749. DOI: 10.1002/cncr.31855. pmid:30508306 |
| [6] | Huang J, Xu B, Mo H, et al. Safety, activity, and biomarkers of SHR-1210, an anti-PD-1 antibody, for patients with advanced esophageal carcinoma[J]. Clin Cancer Res, 2018,24(6):1296-1304. DOI: 10.1158/1078-0432.CCR-17-2439. pmid:29358502 |
| [7] | Fang W, Yang Y, Ma Y, et al. Camrelizumab (SHR-1210) alone or in combination with gemcitabine plus cisplatin for nasopharyngeal carcinoma: results from two single-arm, phase 1 trials[J]. Lancet Oncol, 2018,19(10):1338-1350. DOI: 10.1016/s1470-2045(18)30495-9. doi:10.1016/S1470-2045(18)30495-9pmid:30213452 |
| [8] | Hause RJ, Pritchard CC, Shendure J, et al. Classification and characterization of microsatellite instability across 18 cancer types[J]. Nat Med, 2016,22(11):1342-1350. DOI: 10.1038/nm.4191. pmid:27694933 |
| [1] | 杨蜜, 别俊, 张加勇, 邓佳秀, 唐组阁, 卢俊.局部晚期可切除食管癌新辅助治疗疗效及预后分析[J]. 国际肿瘤学杂志, 2024, 51(6): 332-337. |
| [2] | 陈红健, 张素青.血清miR-24-3p、H2AFX与肝癌患者临床病理特征及术后复发的关系研究[J]. 国际肿瘤学杂志, 2024, 51(6): 344-349. |
| [3] | 许凤琳, 吴刚.EBV在鼻咽癌肿瘤免疫微环境和免疫治疗中的研究进展[J]. 国际肿瘤学杂志, 2024, 51(6): 359-363. |
| [4] | 彭琴, 蔡玉婷, 王伟.KPNA2在肝癌中的研究进展[J]. 国际肿瘤学杂志, 2024, 51(3): 181-185. |
| [5] | 孙国宝, 杨倩, 庄庆春, 高斌斌, 孙晓刚, 宋伟, 沙丹.结直肠癌肝转移组织病理学生长方式研究进展[J]. 国际肿瘤学杂志, 2024, 51(2): 114-118. |
| [6] | 向玉玲, 谭佳杰, 熊远果, 赵丽蓉, 黎晨, 张洪.脱水淫羊藿素对肝癌细胞增殖、迁移和凋亡的影响[J]. 国际肿瘤学杂志, 2023, 50(9): 513-519. |
| [7] | 吕璐, 孙鹏飞.肠道菌群与宫颈癌[J]. 国际肿瘤学杂志, 2023, 50(6): 373-376. |
| [8] | 熊敏, 陈翼, 王建波.CT放射组学特征对肺转移瘤的鉴别诊断价值[J]. 国际肿瘤学杂志, 2023, 50(4): 208-213. |
| [9] | 李佳璇, 封颖璐.糖皮质激素受体在肝癌细胞生长中的作用机制[J]. 国际肿瘤学杂志, 2023, 50(4): 241-243. |
| [10] | 黄华玉, 龚虹云, 宋启斌.胸部放疗联合免疫治疗时代肺炎发生的影响因素[J]. 国际肿瘤学杂志, 2023, 50(2): 102-106. |
| [11] | 张雨潇, 张连生, 李莉娟.新型免疫检查点TIGIT在多发性骨髓瘤免疫治疗中的研究现状与应用前景[J]. 国际肿瘤学杂志, 2023, 50(2): 122-125. |
| [12] | 张碧霞, 丁江华.EGFR突变型非小细胞肺癌EGFR-TKI获得性耐药后免疫治疗现状[J]. 国际肿瘤学杂志, 2023, 50(2): 97-101. |
| [13] | 和婷, 王希, 张惠中, 刘昕阳, 王会平, 董轲.血清TIM-3对肝癌患者诊断价值的研究[J]. 国际肿瘤学杂志, 2022, 49(9): 537-542. |
| [14] | 陈文莉, 倪志华, 陈红宇, 畅立圣, 范德生, 刘立伟, 丁青薇.免疫联合靶向治疗恶性腹膜间皮瘤1例[J]. 国际肿瘤学杂志, 2022, 49(8): 509-512. |
| [15] | 孙笑可, 杨宇.肝细胞癌基因组及转录组特征与免疫相关性[J]. 国际肿瘤学杂志, 2022, 49(5): 302-306. |
| 阅读次数 | ||||||
| 全文 |
|
|||||
| 摘要 |
|
|||||
