国际肿瘤学杂志››2025,Vol. 52››Issue (10): 659-665.doi:10.3760/cma.j.cn371439-20250217-00113

• 质子放疗剂量学特点 •上一篇下一篇

食管癌4例质子治疗的剂量学特点分析

陈进琥1,2, 戴天缘1,2, 孙洪福3, 吴仕章1,2, 李成强1,2, 陶城1,2, 段敬豪1,2, 白曈1,2, 朱健1,2()

  1. 1山东省肿瘤防治研究院(山东省肿瘤医院)放射物理技术科,bobapp1中国有限公司(山东省医学科学院),济南 250117
    2山东省医药卫生儿童肿瘤精确放疗重点实验室(山东省肿瘤医院),济南 250117
    3山东省肿瘤防治研究院(山东省肿瘤医院)胸部放疗五病区,bobapp1中国有限公司(山东省医学科学院),济南 250117
  • 收稿日期:2025-02-17修回日期:2025-06-20出版日期:2025-10-08发布日期:2025-11-12
  • 通讯作者:朱健 E-mail:zhujian@sdfmu.edu.cn
  • 基金资助:
    国家科技重大专项(2024ZD0519901);国家自然科学基金(12105160);国家自然科学基金(82172072);山东省重点研发计划(2024CXPT084);山东省自然科学基金(ZR2021QA099);山东省自然科学基金(ZR2022QH188);山东省高等学校青年创新团队发展计划(2024KJJ013);山东省青年科技人才托举工程(SDAST2024QTB034)

Analysis of dosimetric characteristics of proton radiotherapy in 4 cases of esophageal cancer

Chen Jinhu1,2, Dai Tianyuan1,2, Sun Hongfu3, Wu Shizhang1,2, Li Chengqiang1,2, Tao Cheng1,2, Duan Jinghao1,2, Bai Tong1,2, Zhu Jian1,2()

  1. 1Department of Radiation Oncology Physics, Shandong Cancer Hospital and Institute, Shandong First Medical University and Shandong Academy of Medical Sciences, Jinan 250117, China
    2Shandong Provincial Key Medical and Health Laboratory of Pediatric Cancer Precision Radiotherapy, Shandong Cancer Hospital, Jinan 250117, China
    3Department of Radiotherapy Oncology (Chest Section 5), Shandong Cancer Hospital and Institute, Shandong First Medical University and Shandong Academy of Medical Sciences, Jinan 250117, China
  • Received:2025-02-17Revised:2025-06-20Online:2025-10-08Published:2025-11-12
  • Contact:Zhu Jian E-mail:zhujian@sdfmu.edu.cn
  • Supported by:
    National Science and Technology Major Project of China(2024ZD0519901);National Natural Science Foundation of China(12105160);National Natural Science Foundation of China(82172072);Natural Science Foundation of Shandong Province of China(2024CXPT084);Natural Science Foundation of Shandong Province of China(ZR2021QA099);Natural Science Foundation of Shandong Province of China(ZR2022QH188);Youth Innovation Team Development Plan of Shandong Universities(2024KJJ013);Shandong Provincial Young Science and Technology Talent Support Project(SDAST2024QTB034)

摘要:

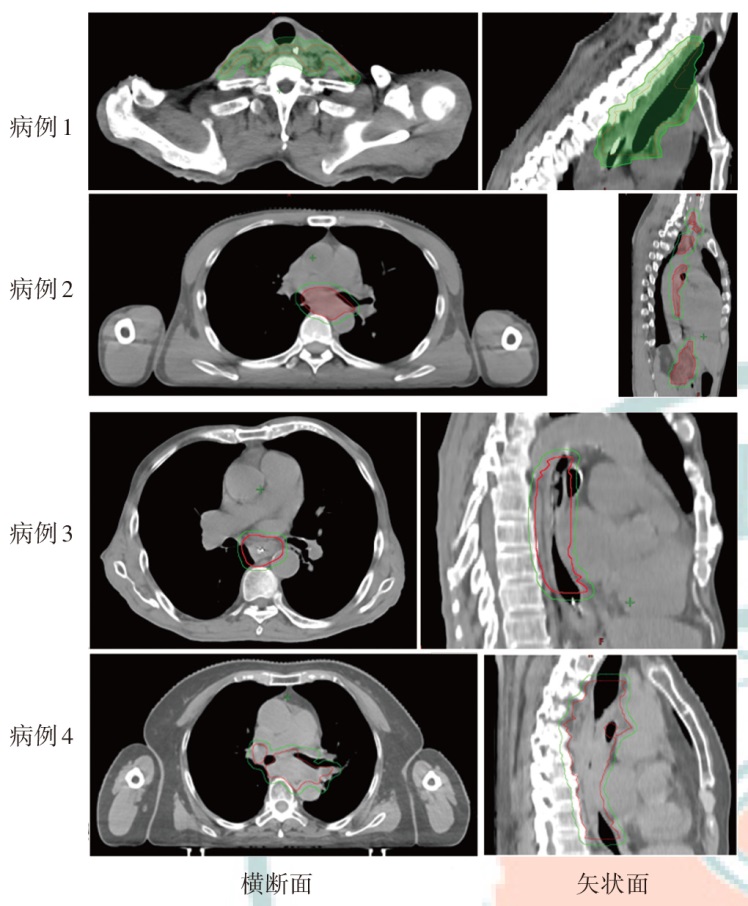
目的探讨食管癌质子放疗计划与光子放疗计划的剂量学特点。方法以山东省肿瘤防治研究院(山东省肿瘤医院)2024年1月至2024年4月收治的需行放疗的4例食管癌患者为研究对象,靶区分别为颈段、胸中段及全段食管,以及涉及的淋巴引流区。根据临床靶区和危及器官限值的要求,分别设计质子调强放疗(IMPT)和光子固定野调强放疗(IMRT)两种放疗计划。比较两种计划的靶区适形指数(CI)、均匀性指数(HI)、梯度指数(GI)以及危及器官的剂量学差异,通过评估体内10%、30%和50%的剂量体积比较患者体内额外的剂量沉积。结果4例患者IMPT计划的HI(0.12、0.10、0.06和0.08)、GI(3.11、3.21、2.43和2.72)、CI(0.59、0.60、0.77和0.72)均小于IMRT计划(HI分别为0.15、0.13、0.10和0.11,GI分别为4.52、5.14、3.09和3.92,CI分别为0.81、0.77、0.91和0.85)。与IMRT计划相比,4例患者IMPT计划的全肺受量指标中,V5分别下降34.1%、55.0%、79.7%和60.3%;V20分别下降48.3%、43.9%、65.8%和40.8%,Dmean分别下降43.4%、57.2%、76.2%和45.4%;心脏V30分别下降36.2%、45.3%、40.1%和52.4%,Dmean分别下降96.6%、57.9%、58.5%和55.3%。对于胸中下段靶区,肝脏在IMPT计划中得到明显保护(Dmean较IMRT计划下降76.0%)。患者体内额外剂量沉积方面,IMPT计划中10%剂量体积减少了45.0%~61.4%;30%剂量体积减少了41.2%~61.8%;50%剂量体积减少了34.8%~61.6%。结论通过比较4例食管癌的IMPT和IMRT计划相关剂量学参数,IMPT计划在降低肺组织、心脏以及肝脏器官的剂量方面具有优势,并能够减少患者体内额外剂量沉积。

关键词:食管肿瘤,放射疗法,质子疗法,放射治疗剂量

Abstract:

ObjectiveTo explore the dosimetric characteristics of proton radiotherapy plan and photon radiotherapy plan for esophageal cancer.MethodsFour patients who were admitted to Shandong Cancer Hospital and Institute from January 2024 to April 2024 with esophageal cancer (cervical, middle thoracic and total esophageal tube, as well as the lymphatic drainage areas involved) and required radiotherapy were selected as the research subjects. Intensity modulated proton therapy (IMPT) and intensity modulated radiation therapy (IMRT) plans were designed respectively based on the clinical target volume and the dose constraints for organs at risk (OARs). Dosimetric parameters, including conformity index (CI), homogeneity index (HI), gradient index (GI) for target coverage, as well as OARs dosimetric parameters were evaluated. The volume of additional dose deposition in the body was compared by assessing regions receiving 10%, 30%, and 50% of the prescription dose.ResultsFor all four cases, IMPT plans yielded lower HI values (0.12, 0.10, 0.06, and 0.08) than IMRT plans (0.15, 0.13, 0.10, and 0.11), and the GI values of IMPT plans (3.11, 3.21, 2.43, and 2.72) was lower than IMRT plans (4.52, 5.14, 3.09, and 3.92). Moreover, the CI of the IMPT plans (0.59, 0.60, 0.77, and 0.72) was inferior to IMRT plans (0.81, 0.77, 0.91, and 0.85). Compared with the IMRT plans, in the whole lung dose indicators of the IMPT plans for the 4 patients, V5decreased by 34.1%, 55.0%, 79.7% and 60.3%, respectively; V20decreased by 48.3%, 43.9%, 65.8% and 40.8%, respectively, and Dmeandecreased by 43.4%, 57.2%, 76.2% and 45.4%, respectively. V30of the heart decreased by 36.2%, 45.3%, 40.1% and 52.4%, respectively, and Dmeanof heart decreased by 96.6%, 57.9%, 58.5% and 55.3%, respectively. For the middle and lower thoracic target area, the liver was significantly protected in the IMPT plan (Dmeandecreased by 76.0% compared with the IMRT plan). In terms of the additional dose deposition in the patient's body, IMPT plans reduced the volumes receiving 10%, 30% and 50% of the prescription dose by 45.0%-61.4%, 41.2%- 61.8% and 34.8%-61.6%, respectively, compared with the IMRT plans.ConclusionsBy comparing the dosimetric parameters of IMPT and IMRT plans for 4 cases of esophageal cancer, the IMPT plans have advantages in reducing the doses to lung tissue, heart, and liver, and can also reduce additional dose deposition in the patient's body.

Key words:Esophageal neoplasms,Radiotherapy,Proton therapy,Radiotherapy dosage

Baidu
map