国际肿瘤学杂志››2025,Vol. 52››Issue (6): 392-394.doi:10.3760/cma.j.cn371439-20250225-00067

• 病例报道 •上一篇下一篇

多发鼻腔鼻窦及口咽部黏膜恶性黑色素瘤1例及文献复习

林建武, 张再兴()

  1. 华北理工大学附属医院耳鼻喉科,唐山 063000
  • 收稿日期:2025-02-25修回日期:2025-04-01出版日期:2025-06-08发布日期:2025-06-26
  • 通讯作者:张再兴 E-mail:zzz16812@163.com
  • 基金资助:
    河北省医学bob综合体课题(20231271)

    • Received:2025-02-25Revised:2025-04-01Online:2025-06-08Published:2025-06-26

    摘要:

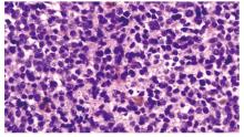
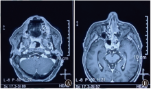
    恶性黑色素瘤是一种由异常黑色素细胞过度增生引发的高度恶性肿瘤,好发于皮肤黏膜组织,而鼻腔鼻窦及口咽部黏膜的恶性黑色素瘤病例极为罕见。现报道1例多发鼻腔鼻窦及口咽部黏膜恶性黑色素瘤的患者,通过复习相关文献,对恶性黑色素瘤的诊断、病理特征及治疗等方面展开探讨。

    关键词:黑色素瘤,鼻肿瘤,鼻咽肿瘤,口咽肿瘤

    Baidu
    map